Learn More
Invitrogen™ ITFG2 Monoclonal Antibody (OTI 3D8)

Description
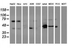
ITFG2 Monoclonal Antibody for Western Blot, Flow
Specifications
Specifications
| Antigen | ITFG2 |
| Applications | Flow Cytometry, Western Blot |
| Classification | Monoclonal |
| Clone | OTI 3D8 |
| Concentration | 0.34 mg/mL |
| Conjugate | Unconjugated |
| Formulation | PBS with 1% BSA, 50% glycerol and 0.02% sodium azide; pH 7.3 |
| Gene | ITFG2 |
| Gene Accession No. | Q969R8 |
| Gene Alias | 2700050P07Rik; AI646725; integrin alpha FG-GAP repeat containing 2; integrin-alpha FG-GAP repeat-containing protein 2; integrin-alpha FG-GAP repeat-containing protein 2; KICSTOR complex protein ITFG2; ITFG2; KICSTOR complex protein ITFG2; MDS028; RGD1311944 |
| Show More |
By clicking Submit, you acknowledge that you may be contacted by Fisher Scientific in regards to the feedback you have provided in this form. We will not share your information for any other purposes. All contact information provided shall also be maintained in accordance with our Privacy Policy.