Learn More
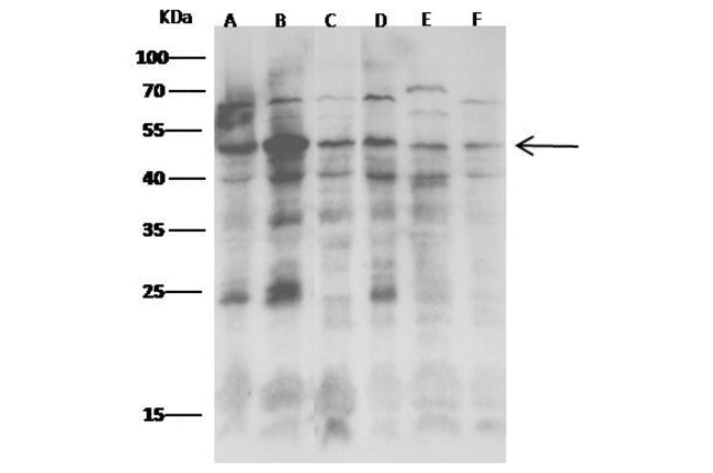
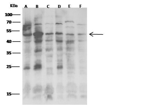
Invitrogen™ JNK2 Monoclonal Antibody (3C3C12E5)

Description
JNK2 Monoclonal Antibody for Western Blot, IP, ELISA
Specifications
Specifications
| Antigen | JNK2 |
| Applications | ELISA, Immunoprecipitation, Western Blot |
| Classification | Monoclonal |
| Clone | 3C3C12E5 |
| Conjugate | Unconjugated |
| Formulation | PBS with no preservative |
| Gene | MAPK9 |
| Gene Accession No. | P45984 |
| Gene Alias | AI851083; c-Jun kinase 2; c-Jun N-terminal kinase 2; I79_012561; JNK; JNK/SAPK alpha; JNK1; JNK1A2; JNK2; JNK21B1/2; JNK2A; JNK2ALPHA; JNK2B; JNK2BETA; JNK-46; JNK-55; Jun kinase; MAP kinase 10; MAP kinase 8; MAP kinase 9; MAPK 10; MAPK 9; MAPK10; MAPK8; Mapk9; mitogen activated protein kinase 9; mitogen-activated protein kinase 9; OTTHUMP00000161542; OTTHUMP00000161543; p54a; p54-alpha; p54aSAPK; PRKM8; PRKM9; protein kinase, mitogen-activated 9; SAPK; SAPK1; SAPK1a; SAPK1c; SAPK-alpha; stress activated protein kinase alpha II; stress-activated protein kinase 1a; Stress-activated protein kinase JNK2 |
| Gene Symbols | MAPK9 |
| Show More |
Safety and Handling
By clicking Submit, you acknowledge that you may be contacted by Fisher Scientific in regards to the feedback you have provided in this form. We will not share your information for any other purposes. All contact information provided shall also be maintained in accordance with our Privacy Policy.