Learn More
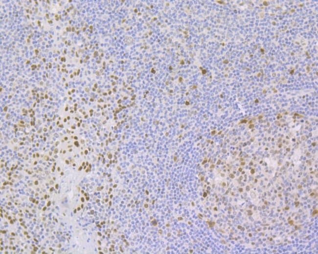
Invitrogen™ JunB Recombinant Rabbit Monoclonal Antibody (SD081-08)

Description
JunB Recombinant Monoclonal Antibody for Western Blot, IHC (P), ICC/IF
Specifications
Specifications
| Antigen | JunB |
| Applications | Immunohistochemistry (Paraffin), Western Blot, Immunocytochemistry |
| Classification | Recombinant Monoclonal |
| Clone | SD081-08 |
| Concentration | 1 mg/mL |
| Conjugate | Unconjugated |
| Formulation | TBS with 40% glycerol, 0.05% BSA and 0.05% sodium azide; pH 7.4 |
| Gene | Junb |
| Gene Accession No. | P09450, P17275, P24898 |
| Gene Alias | activator protein 1; AP-1; Jun B; jun B proto-oncogene; Junb; Jun-b; Jun-B oncogene; JunB proto-oncogene, AP-1 transcription factor subunit; myD21; Oncogene Jun-B; Transcription factor jun-B |
| Show More |
Safety and Handling
By clicking Submit, you acknowledge that you may be contacted by Fisher Scientific in regards to the feedback you have provided in this form. We will not share your information for any other purposes. All contact information provided shall also be maintained in accordance with our Privacy Policy.