Promotional price valid on web orders only. Your contract pricing may differ. Interested in signing up for a dedicated account number?
Learn More

KARS Rabbit anti-Human, Polyclonal, Bethyl Laboratories

Rabbit Polyclonal Antibody

Supplier:  Bethyl Laboratories, Inc A300630A

Encompass_Preferred

Catalog No. 50-155-8083


May include imposed supplier surcharges.
Only null left
Add to Cart

Description

Description

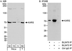
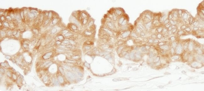
The recommended shelf life for this product is 1 year from date of receipt. Application Note: For ICC, epitope retrieval with Tris-EDTA pH 9.0 is recommended for FFPE cell sections. For IHC, epitope retrieval with Tris-EDTA pH 9.0 is recommended for FFPE tissue sections.

Aminoacyl-tRNA synthetases are a class of enzymes that charge tRNAs with their cognate amino acids. Lysyl-tRNA synthetase is a homodimer localized to the cytoplasm which belongs to the class II family of tRNA synthetases. It has been shown to be a target of autoantibodies in the human autoimmune diseases, polymyositis or dermatomyositis. Alternatively spliced transcript variants encoding different isoforms have been found for this gene.
Specifications

Specifications

KARS
Polyclonal
Unconjugated
KARS
KRS; KARS2; KIAA0070; KARS
Rabbit
Antigen affinity chromatography
RUO
3735
4° C
Liquid
Immunocytochemistry, Immunohistochemistry, Immunoprecipitation, Western Blot
0.2 mg/ml
TBS with 0.1% BSA and 0.09% sodium azide
Q15046
KARS
Between 550 and C-term
100 μL
Primary
Human
Antibody
IgG
Product Suggestions

Product Suggestions

Videos
SDS
Documents

Documents

Product Certifications
Promotions

Promotions

Product Content Correction

The Fisher Scientific Encompass Program offers items which are not part of our distribution portfolio. These products typically do not have pictures or detailed descriptions. However, we are committed to improving your shopping experience. Please use the form below to provide feedback related to the content on this product.

Product Title

By clicking Submit, you acknowledge that you may be contacted by Fisher Scientific in regards to the feedback you have provided in this form. We will not share your information for any other purposes. All contact information provided shall also be maintained in accordance with our Privacy Policy.

Your feedback has been submitted: Thank you for helping us improve our website.