Promotional price valid on web orders only. Your contract pricing may differ. Interested in signing up for a dedicated account number?
Learn More

Invitrogen™ KCTD3 Polyclonal Antibody

Catalog No. PIPA553287
Change view
Click to view available options
Quantity:
100 μL
1 product options available for selection
Product selection table with 1 available options. Use arrow keys to navigate and Enter or Space to select.
Catalog No. Quantity
PIPA553287 100 μL
Use arrow keys to navigate between rows. Press Enter or Space to select a product option. 1 options available.
1 options
Catalog No. PIPA553287 Supplier Invitrogen™ Supplier No. PA553287

Rabbit Polyclonal Antibody

Immunogen sequence: ITPLVRRLLL CEELERSSCG SVLFHGYLPP PGIPSRKINN TVRSADSRNG LNSTEGEARG NGTQPVLSGT GEETVRLGFP VDPRKVLIVA GHHNWIVAAY AHFAVCYRIK ESSGWQQVFT SP Highest antigen sequence identity to the following orthologs: Mouse - 90%, Rat - 89%.

This gene encodes a member of the potassium channel tetramerization-domain containing (KCTD) protein family. Members of this protein family regulate the biophysical characteristics of ion channels. In mouse, this protein interacts with hyperpolarization-activated cyclic nucleotide-gated channel complex 3 and enhances its cell surface expression and current density. Alternative splicing results in multiple transcript variants.
TRUSTED_SUSTAINABILITY

Specifications

Antigen KCTD3
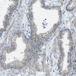
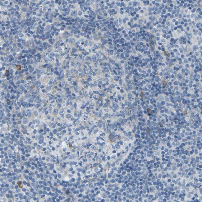
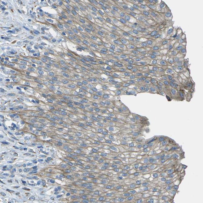
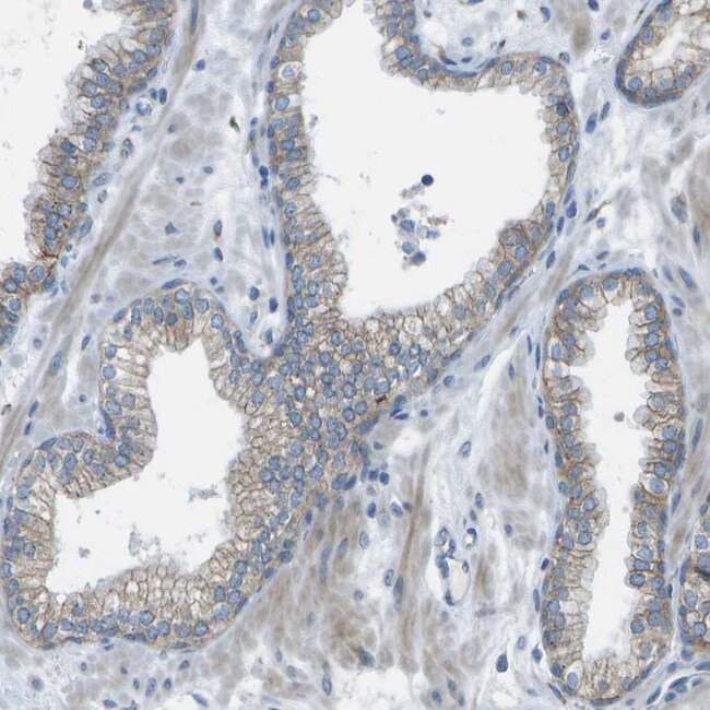
Applications Immunohistochemistry (Paraffin), Immunocytochemistry
Classification Polyclonal
Concentration 0.1 mg/mL
Conjugate Unconjugated
Formulation PBS with 40% glycerol and 0.02% sodium azide; pH 7.2
Gene KCTD3
Gene Accession No. Q9Y597
Gene Alias 4930438A20Rik; 9330185B06; BTB/POZ domain-containing protein KCTD3; E330032J19Rik; Kctd3; LOW QUALITY PROTEIN: BTB/POZ domain-containing protein KCTD3; NY-REN-45; NY-REN-45 antigen; potassium channel tetramerisation domain containing 3; potassium channel tetramerization domain containing 3; Ren-45; renal carcinoma antigen NY-REN-45; si:dkey-46n18.2
Gene Symbols KCTD3
Host Species Rabbit
Immunogen Recombinant protein corresponding to Human KCTD3. Recombinant protein control fragment (Product #RP-90668).
Purification Method Antigen Affinity Chromatography
Quantity 100 μL
Regulatory Status RUO
Primary or Secondary Primary
Gene ID (Entrez) 51133
Target Species Human
Content And Storage Store at 4°C short term. For long term storage, store at -20°C, avoiding freeze/thaw cycles.
Product Type Antibody
Form Liquid
Isotype IgG
Show More Show Less
Product Title
Select an issue

By clicking Submit, you acknowledge that you may be contacted by Fisher Scientific in regards to the feedback you have provided in this form. We will not share your information for any other purposes. All contact information provided shall also be maintained in accordance with our Privacy Policy.