Learn More
KIAA0082 Rabbit anti-Human, Mouse, Polyclonal, Bethyl Laboratories
Rabbit Polyclonal Antibody
Supplier: Bethyl Laboratories, Inc A300304A

Description
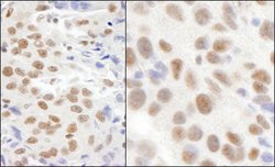
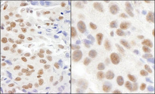
The recommended shelf life for this product is 1 year from date of receipt. Application Note: For IHC, epitope retrieval with Tris-EDTA pH 9.0 is recommended for FFPE tissue sections. Based on 100% sequence identity, this antibody is predicted to react with Panda and Orangutan
FTSJD2 is a S-adenosyl-L-methionine-dependent methyltransferase that mediates mRNA cap1 2′-O-ribose methylation to the 5′-cap structure of mRNAs. It methylates the ribose of the first nucleotide of a m7GpppG-capped mRNA to produce m7GpppNmp (cap1). Cap1 modification is linked to higher levels of translation. It may be involved in the interferon response pathway.Specifications
KIAA0082 | |
Polyclonal | |
Unconjugated | |
CMTR1 | |
FtsJ methyltransferase domain containing 2, KIAA0082, MTr1, hMTr1, FTSJD2 | |
Rabbit | |
Antigen affinity chromatography | |
RUO | |
23070, 74157 | |
4° C | |
Liquid |
Immunohistochemistry, Immunoprecipitation, Western Blot | |
1 mg/ml | |
phosphate, tris citrate with 0.09% sodium azide; pH 7-8 | |
Q8N1G2, Q9DBC3 | |
CMTR1 | |
Between 100 and 150 | |
100 μL | |
Primary | |
Human, Mouse | |
Antibody | |
IgG |
The Fisher Scientific Encompass Program offers items which are not part of our distribution portfolio. These products typically do not have pictures or detailed descriptions. However, we are committed to improving your shopping experience. Please use the form below to provide feedback related to the content on this product.