Promotional price valid on web orders only. Your contract pricing may differ. Interested in signing up for a dedicated account number?
Learn More

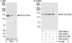
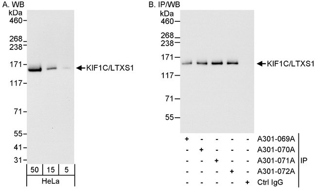
KIF1C/LTXS1 Rabbit anti-Human, Polyclonal, Bethyl Laboratories

Catalog No. 501559172
Encompass_Preferred
Change view
Click to view available options
Quantity:
100 μL
1 product options available for selection
Product selection table with 1 available options. Use arrow keys to navigate and Enter or Space to select.
Catalog No. Quantity
50-155-9172 100 μL
Use arrow keys to navigate between rows. Press Enter or Space to select a product option. 1 options available.
1 options
Catalog No. 50-155-9172 Supplier Bethyl Laboratories, Inc Supplier No. A301071A
Only null left
Add to Cart
Add to Cart

Rabbit Polyclonal Antibody

The recommended shelf life for this product is 1 year from date of receipt.

The kinesins constitute a large family of microtubule-dependent motor proteins, which are responsible for the distribution of numerous organelles, vesicles and macromolecular complexes throughout the cell. Individual kinesin members play crucial roles in cell division, intracellular transport, and membrane trafficking events including endocytosis and transcytosis. KIF1C is a member of the KIF1/Unc104 family of kinesin-like proteins, which are involved in the transport of mitochondria or synaptic vesicles in axons. Human KIF1C maps to chromosome 17p13 and encodes a predicted 1,103 amino acid protein with abundant expression in heart and skeletal muscle. Tyrosine phosphorylation is a putative regulator of KIF1C mediated retrograde transport of Golgi vesicles to the endoplasmic reticulum. KIF1C is capable of forming homodimers and can noncovalently associate with 14-3-3 beta, gamma, epsilon and zeta. In mouse macrophages, KIF1C is required for anthrax lethal toxin resistance.

Specifications

Antigen KIF1C/LTXS1
Applications Immunoprecipitation, Western Blot
Classification Polyclonal
Concentration 0.2 mg/ml
Conjugate Unconjugated
Formulation TBS with 0.1% BSA and 0.09% sodium azide
Gene KIF1C
Gene Accession No. O43896
Gene Alias LTXS1, kinesin-like protein KIF1C
Gene Symbols KIF1C
Host Species Rabbit
Immunogen Between 1000 and 1050
Purification Method Antigen affinity chromatography
Quantity 100 μL
Regulatory Status RUO
Primary or Secondary Primary
Gene ID (Entrez) 10749
Target Species Human
Content And Storage 4° C
Product Type Antibody
Form Liquid
Isotype IgG
Show More Show Less
Product Title
Select an issue

By clicking Submit, you acknowledge that you may be contacted by Fisher Scientific in regards to the feedback you have provided in this form. We will not share your information for any other purposes. All contact information provided shall also be maintained in accordance with our Privacy Policy.