Promotional price valid on web orders only. Your contract pricing may differ. Interested in signing up for a dedicated account number?
Learn More
Learn More
Invitrogen™ LFG Polyclonal Antibody

Rabbit Polyclonal Antibody
Supplier: Invitrogen™ PA582634
Description
Immunogen sequence: MTQGKLSVAN KAPGTEGQQQ VHGEKKEAPA VPSAPPSYEE ATSGE.
LFG, a seven transmembrane spanning protein, is a recently identified member of a family whose members can inhibit apoptotic cell death induced by Fas receptor. LFG is a human homolog of rat NMP35 and consists of a conserved transmembrane domain and a small cytoplasmic domain. Reports have shown that LFG protects the cell from Fas-mediated neuronal cell death in a novel way. LFG binds to Fas receptor but doesn't have any effect in reducing Fas expression or decreasing the ability of FADD binding to the receptor. Furthermore, LFG doesn't protect the cells from TNF-alpha mediated cell death process. Although LFG is ubiquitously expressed, Northern blot analysis detected an increased expression in hippocampus and other neural tissues, suggesting a protective role in neurodegenerative diseases.
Specifications
LFG | |
Polyclonal | |
Unconjugated | |
FAIM2 | |
2900002L20Rik; FAIM2; Fas apoptotic inhibitory molecule 2; fas apoptotic inhibitory molecule 2; protein lifeguard 2; Kiaa0950; Lfg; LFG2; lifeguard; neural membrane protein 35; NGP35; NMP25; Nmp35; protein lifeguard; protein lifeguard 2; TMBIM2; transmembrane BAX inhibitor motif-containing protein 2 | |
Rabbit | |
Antigen Affinity Chromatography | |
RUO | |
23017 | |
Store at 4°C short term. For long term storage, store at -20°C, avoiding freeze/thaw cycles. | |
Liquid |
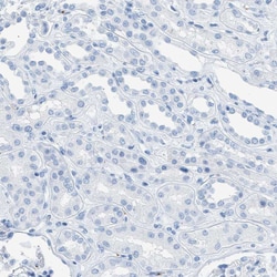
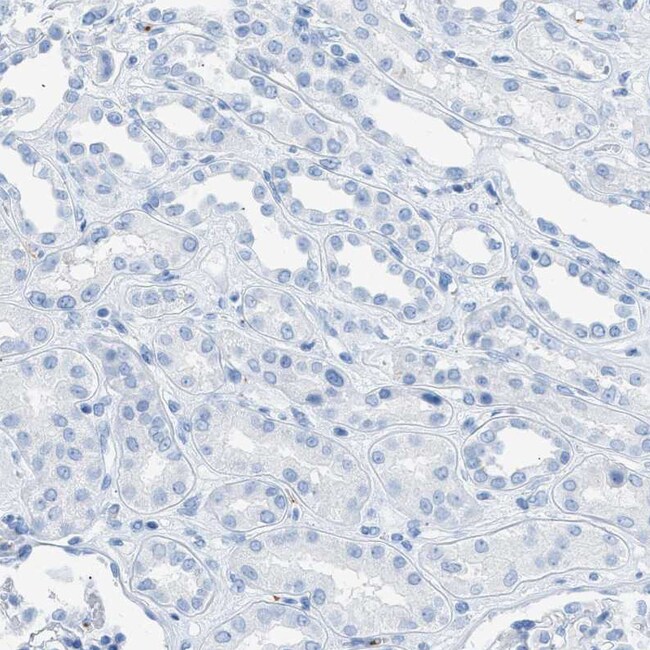
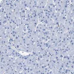
Immunohistochemistry (Paraffin) | |
0.05 mg/mL | |
PBS with 40% glycerol and 0.02% sodium azide; pH 7.2 | |
Q9BWQ8 | |
FAIM2 | |
Recombinant protein corresponding to Human FAIM2. Recombinant protein control fragment (Product #RP-92046). | |
100 μL | |
Primary | |
Human | |
Antibody | |
IgG |
Product Content Correction
Your input is important to us. Please complete this form to provide feedback related to the content on this product.
Product Title
Spot an opportunity for improvement?Share a Content Correction