Promotional price valid on web orders only. Your contract pricing may differ. Interested in signing up for a dedicated account number?
Learn More
Learn More
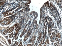
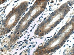
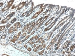
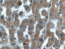
LIPF Rabbit anti-Human, Polyclonal, Proteintech

Rabbit Polyclonal Antibody
Supplier: Proteintech Group Inc 258891AP150UL

Description
The protein encoded by this gene has substantial phospholipase activity and may be involved in lipoprotein metabolism and vascular biology. This protein is designated a member of the TG lipase family by its sequence and characteristic lid region which provides substrate specificity for enzymes of the TG lipase family.Specifications
LIPF | |
Polyclonal | |
Unconjugated | |
LIPF | |
Gastric lipase, Gastric triacylglycerol lipase, GL, HGL, HLAL, lipase, gastric, LIPF | |
Rabbit | |
Antigen Affinity Chromatography | |
RUO | |
8513 | |
-20°C | |
Liquid |
Immunohistochemistry (Paraffin), Western Blot | |
0.2 mg/mL | |
PBS with 50% glycerol and 0.1% sodium azide; pH 7.3 | |
P07098 | |
LIPF | |
LIPF Fusion Protein Ag23149 | |
150 μL | |
Primary | |
Human | |
Antibody | |
IgG |
Product Content Correction
The Fisher Scientific Encompass Program offers items which are not part of our distribution portfolio. These products typically do not have pictures or detailed descriptions. However, we are committed to improving your shopping experience. Please use the form below to provide feedback related to the content on this product.
Product Title
Spot an opportunity for improvement?Share a Content Correction