Learn More
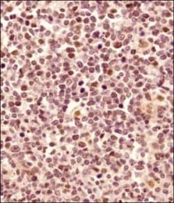
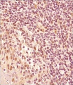
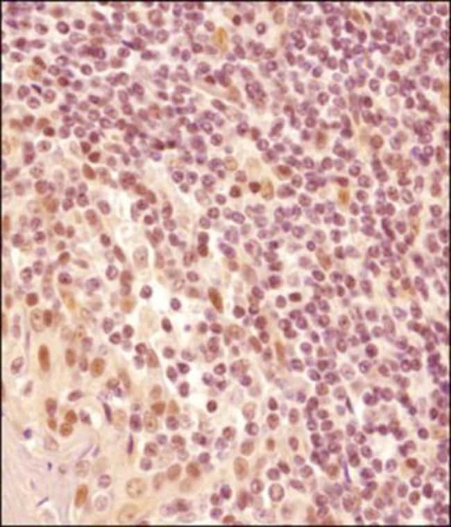
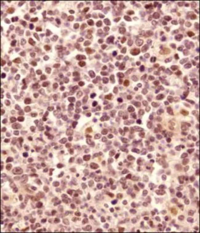
Invitrogen™ LMO2 Polyclonal Antibody

Description
The target sequence has 93% sequence homology with zebrafish. Suggested positive control: Ramos whole cell extracts.
Specifications
Specifications
| Antigen | LMO2 |
| Applications | ChIP Assay, Immunohistochemistry (Paraffin), Western Blot |
| Classification | Polyclonal |
| Concentration | 1 mg/mL |
| Conjugate | Unconjugated |
| Formulation | PBS with 0.02% sodium azide |
| Gene | Lmo2 |
| Gene Accession No. | P25791, P25801, Q1LZ94 |
| Gene Alias | cysteine-rich protein TTG-2; LIM domain only 2; LIM domain only 2 (rhombotin-like 1); LIM domain only protein 2; LIM domain only-2; LIM only 2; LMO2; LMO-2; LMO2 protein; Rbtn2; Rbtn-2; RBTNL1; RHOM2; Rhom-2; rhombotin 2; rhombotin-2; rhombotin-like 1; si:dkey-10o6.5; T-cell translocation gene 2; T-cell translocation protein 2; TTG2; wu:fc83a08; zgc:111930; zlmo2 |
| Gene Symbols | Lmo2 |
| Show More |
Safety and Handling
By clicking Submit, you acknowledge that you may be contacted by Fisher Scientific in regards to the feedback you have provided in this form. We will not share your information for any other purposes. All contact information provided shall also be maintained in accordance with our Privacy Policy.