Learn More
Invitrogen™ LRG1 Monoclonal Antibody (C4)

Description
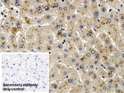
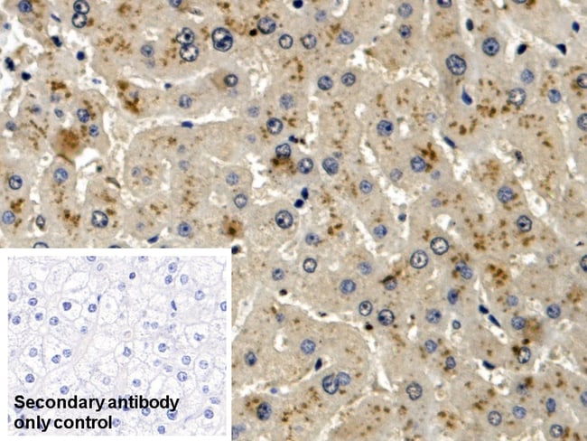
LRG1 Monoclonal Antibody for Western Blot, ICC/IF, IHC (P), Flow
Specifications
Specifications
| Antigen | LRG1 |
| Applications | Flow Cytometry, Immunohistochemistry (Paraffin), Western Blot, Immunocytochemistry |
| Classification | Monoclonal |
| Clone | C4 |
| Concentration | 1 mg/mL |
| Conjugate | Unconjugated |
| Formulation | PBS with 50% glycerol and 0.05% ProClin 300; pH 7.4 |
| Gene | LRG1 |
| Gene Accession No. | P02750 |
| Gene Alias | 1300008B03Rik; 2310031E04Rik; A2GL; HMFT1766; leucine rich alpha 2 glycoprotein; leucine rich alpha-2-glycoprotein 1; leucine-rich alpha-2-glycoprotein; leucine-rich alpha-2-glycoprotein 1; Leucine-rich alpha-2-glycoprotein precursor; LRG; LRG 1; LRG1; LRG-1; Lrhg |
| Show More |
By clicking Submit, you acknowledge that you may be contacted by Fisher Scientific in regards to the feedback you have provided in this form. We will not share your information for any other purposes. All contact information provided shall also be maintained in accordance with our Privacy Policy.