Learn More
Invitrogen™ LRP1 Polyclonal Antibody

Description
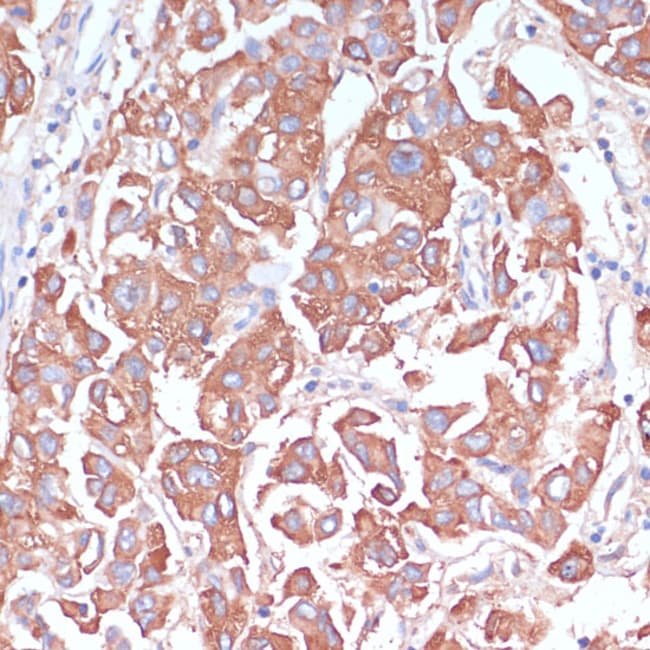
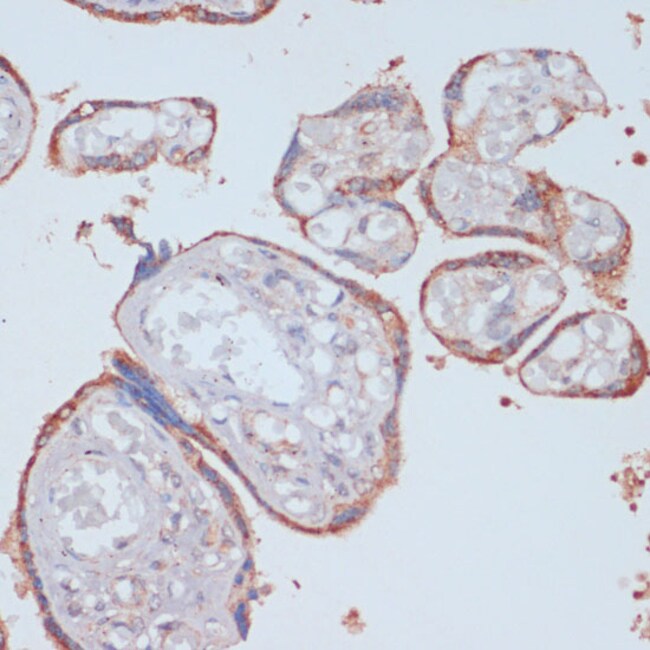
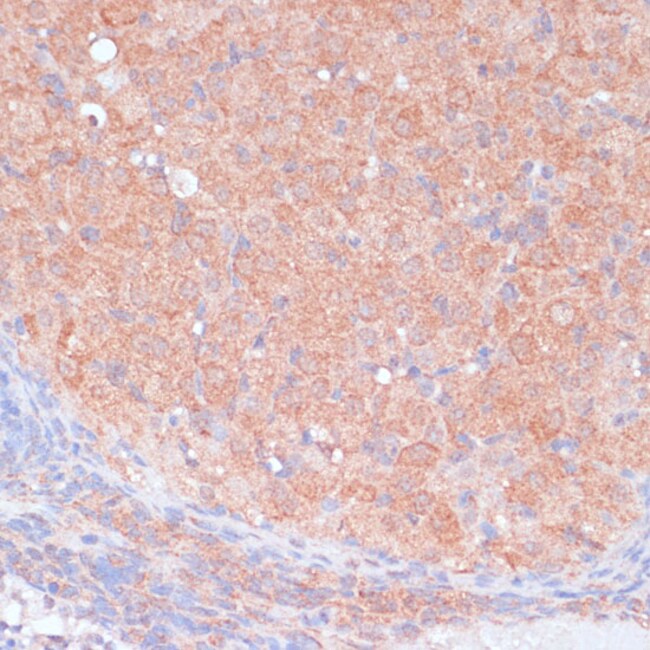
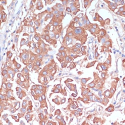
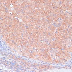
Positive Samples: Mouse brain Immunogen sequence: PHMTGPRCEE HVFSQQQPGH IASILIPLLL LLLLVLVAGV VFWYKRRVQG AKGFQHQRMT NGAMNVEIGN PTYKMYEGGE PDDVGGLLDA DFALDPDKPT.
Specifications
Specifications
| Antigen | LRP1 |
| Applications | ELISA, Immunohistochemistry (Paraffin), Western Blot |
| Classification | Polyclonal |
| Concentration | 0.31 mg/mL |
| Conjugate | Unconjugated |
| Formulation | PBS with 50% glycerol and 0.02% sodium azide; pH 7.3 |
| Gene | LRP1 |
| Gene Accession No. | Q07954, Q91ZX7 |
| Gene Alias | A2MR; AI316852; alpha 2-macroglobulin receptor; alpha-2-macroglobulin receptor; APOER; Apolipoprotein E receptor; APR; b2b1554Clo; CD91; FLJ16451; IGFBP3R; LDL receptor related protein 1; lipoprotein receptor-related protein; low density lipoprotein receptor-related protein 1; low density lipoprotein-related protein 1 (alpha-2-macroglobulin receptor); Low-density lipoprotein receptor-related protein 1 515 kDa subunit; Low-density lipoprotein receptor-related protein 1 85 kDa subunit; Low-density lipoprotein receptor-related protein 1 intracellular domain; Lrp; Lrp1; LRP-1; LRP1A; LRP-515; LRP-85; LRPICD; MGC88725; Prolow-density lipoprotein receptor-related protein 1; TbetaR-V/LRP-1/IGFBP-3 receptor; TGFBR5; type V tgf-beta receptor |
| Gene Symbols | LRP1 |
| Show More |
By clicking Submit, you acknowledge that you may be contacted by Fisher Scientific in regards to the feedback you have provided in this form. We will not share your information for any other purposes. All contact information provided shall also be maintained in accordance with our Privacy Policy.