Promotional price valid on web orders only. Your contract pricing may differ. Interested in signing up for a dedicated account number?
Learn More
Learn More
MAD2L1 Mouse anti-Human, Clone: 2F5F12, Proteintech

Mouse Monoclonal Antibody
Supplier: Proteintech Group Inc 660141IG150UL
Description
Tight junction proteins (TJPs) belong to a family of membrane-associated guanylate kinase (MAGUK) homologs that are involved in the organization of epithelial and endothelial intercellular junctions. TJPs bind to the cytoplasmic C termini of junctional transmembrane proteins and link them to the actin cytoskeleton.Specifications
| MAD2L1 | |
| Monoclonal | |
| 1.07 mg/mL | |
| PBS with 50% glycerol and 0.02% sodium azide; pH 7.3 | |
| Q13257 | |
| MAD2L1 | |
| MAD2L1 Fusion Protein Ag17512 | |
| 150 μL | |
| Primary | |
| Human | |
| Antibody | |
| IgG2b |
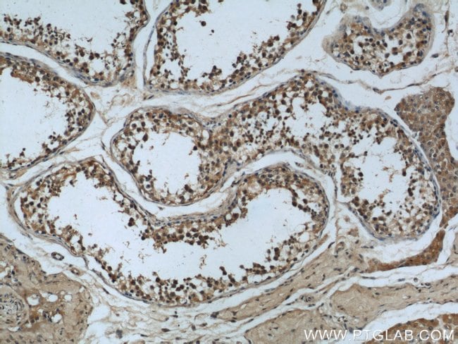
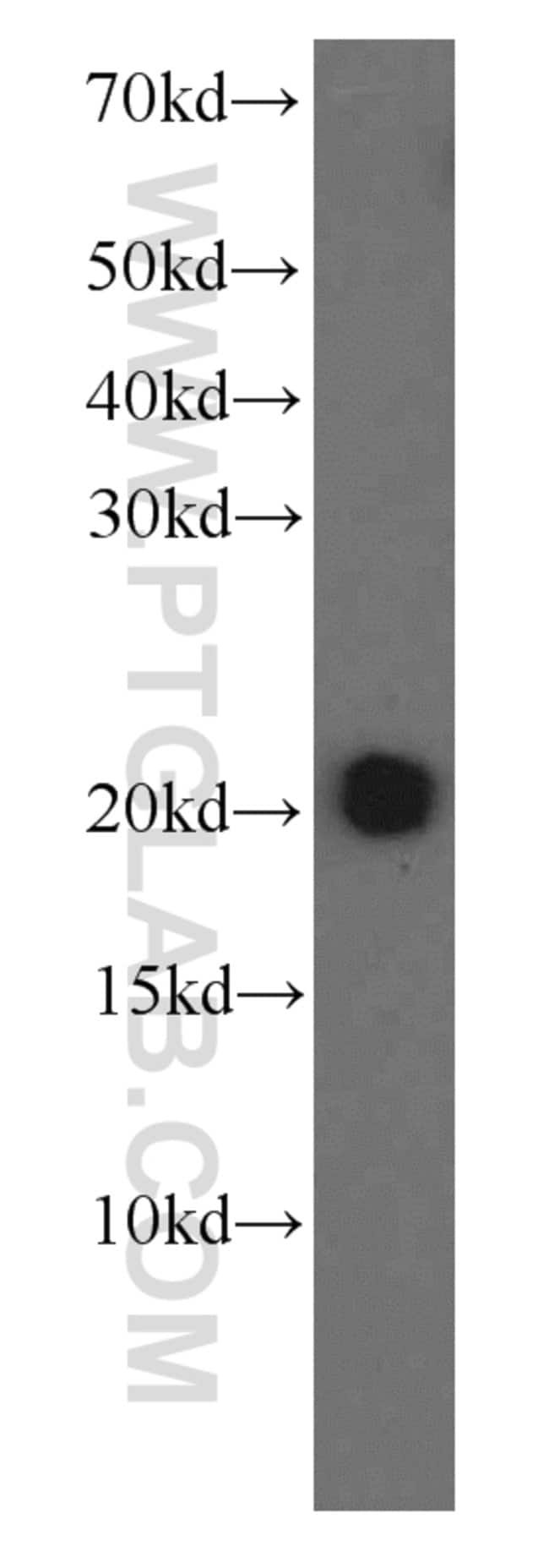
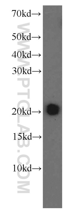
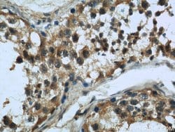
| Immunohistochemistry (Paraffin), Western Blot | |
| 2F5F12 | |
| Unconjugated | |
| MAD2L1 | |
| HSMAD2, MAD2, MAD2 like protein 1, MAD2L1 | |
| Mouse | |
| Protein A | |
| RUO | |
| 4085 | |
| -20°C | |
| Liquid |
Product Content Correction
The Fisher Scientific Encompass Program offers items which are not part of our distribution portfolio. These products typically do not have pictures or detailed descriptions. However, we are committed to improving your shopping experience. Please use the form below to provide feedback related to the content on this product.
Product Title
Spot an opportunity for improvement?Share a Content Correction