Learn More
Invitrogen™ MAD2L2 Polyclonal Antibody

Description
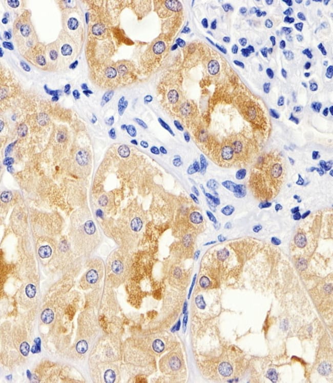
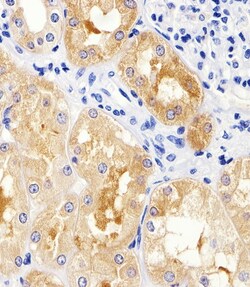
MAD2L2 Polyclonal Antibody for Western Blot, ICC/IF, IHC (P)
Specifications
Specifications
| Antigen | MAD2L2 |
| Applications | Immunohistochemistry (Paraffin), Western Blot, Immunocytochemistry |
| Classification | Polyclonal |
| Concentration | 0.5 mg/mL |
| Conjugate | Unconjugated |
| Formulation | PBS with 0.09% sodium azide; pH 7.4 |
| Gene | MAD2L2 |
| Gene Accession No. | Q9D752, Q9UI95 |
| Gene Alias | 2310033C13Rik; G1-453-4; hREV7; MAD2 (mitotic arrest deficient, yeast, homolog)-like 2; MAD2 mitotic arrest deficient-like 2; MAD2 mitotic arrest deficient-like 2 (yeast); Mad2b; Mad2l2; MAD2-like protein 2; Mitotic arrest deficient 2-like protein 2; mitotic arrest deficient homolog-like 2; mitotic spindle assembly checkpoint protein MAD2B; polymerase (DNA-directed), zeta 2, accessory subunit; POLZ2; repro22; REV7; REV7 homolog; RP3-330O12.4 |
| Gene Symbols | MAD2L2 |
| Show More |
By clicking Submit, you acknowledge that you may be contacted by Fisher Scientific in regards to the feedback you have provided in this form. We will not share your information for any other purposes. All contact information provided shall also be maintained in accordance with our Privacy Policy.