Promotional price valid on web orders only. Your contract pricing may differ. Interested in signing up for a dedicated account number?
Learn More
Learn More
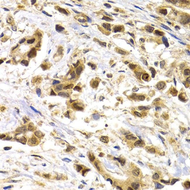
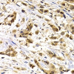
Invitrogen™ MAGE1 Polyclonal Antibody

Rabbit Polyclonal Antibody
Supplier: Invitrogen™ PA587134
Description
Purity is > 95% by SDS-PAGE.
Human malignant neoplasms carry rejection antigens that are recognized by the patients' autologous, tumor directed and specific, cytolytic, CD8+ T lymphocyte clones (CTL). An important group of antigens is coded by the MAGE family of genes. It was identified that melanoma associated with antigens (MAAs). Because MAGE-1 is expressed on a significant proportion of human neoplasms of various hisological tyoes (melanoma, brain tumors of glial origin, neuroblastoma, non-small cell lung cancer, breast, gastric, colorectal, ovarian, renal cell carcinomas) and not on normal tissues, the encoded antigen may serve as a marker of early detection and target for cancer immunotherapy.
Specifications
MAGE1 | |
Polyclonal | |
Unconjugated | |
MAGEA1 | |
antigen MZ2-E; antigen p97 (melanoma associated) identified by monoclonal antibodies 133.2 and 96.5; cancer/testis antigen 1.1; cancer/testis antigen family 1, member 1; CD228; CT1.1; mage 1; MAGE family member A1; MAGE1; mage-1; MAGE-1 antigen; MAGE1A; MAGEA1; Mage-a1; MAP97; melanoma antigen family A 1; melanoma antigen family A, 1; melanoma antigen family A, 1 (directs expression of antigen MZ2-E); melanoma antigen family A1; melanoma antigen MAGE-1; melanoma antigen, family A, 1; melanoma-associated antigen 1; melanoma-associated antigen MZ2-E; Melanoma-associated antigen p97; melanoma-associated antigen p97, isoform 2; melanotransferrin; MELTF; membrane-bound transferrin-like protein; Mfi2; MTf; MTF1 | |
Rabbit | |
Antigen affinity chromatography | |
RUO | |
4100 | |
Store at 4°C short term. For long term storage, store at -20°C, avoiding freeze/thaw cycles. | |
Liquid |
Immunohistochemistry (Paraffin), Western Blot, Immunocytochemistry | |
1 mg/mL | |
PBS with 50% glycerol and 0.02% sodium azide; pH 7.2 | |
P43355 | |
MAGEA1 | |
Recombinant protein of human MAGEA1. | |
100 μL | |
Primary | |
Human, Mouse | |
Antibody | |
IgG |
Safety and Handling
WARNING: Cancer - www.P65Warnings.ca.gov
Product Content Correction
Your input is important to us. Please complete this form to provide feedback related to the content on this product.
Product Title
Spot an opportunity for improvement?Share a Content Correction