Learn More
MAGED2 Rabbit anti-Human, Polyclonal, Bethyl Laboratories
Rabbit Polyclonal Antibody
Supplier: Bethyl Laboratories, Inc A301042A

Description
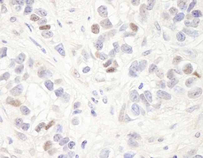
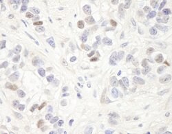
The recommended shelf life for this product is 1 year from date of receipt. Application Note: For IHC, epitope retrieval with citrate buffer pH 6.0 is recommended for FFPE tissue sections.
MAGE-D2, also known as Melanoma-associated antigen D2, belongs to the melanoma antigen encoding gene (MAGE) family with a MAGE domain. Rat and mouse orthologues have been isolated. Compared to other proteins (MAGE-A, MAGE- B and MAGE-C clusters) MAGE-D2 is expressed ubiquitously. This intracellular protein shows high expression in specific brain regions and in the interstitium of testes. Though the exact function of this protein is yet to be deduced, MAGE-D2 is considered as a hot spot for X-linked mental retardation. Research reveals that MAGE-D2 might have some role in breast and gastric cancer, as well as in hepatocellular carcinoma. MAGE-D2 is also known to interact physically with p53 and modify its activity, thus acting as a p53-dissociator.Specifications
MAGED2 | |
Polyclonal | |
Unconjugated | |
MAGED2 | |
11B6, BARTS5, BCG1, BCG-1, breast cancer associated gene 1, breast cancer-associated gene 1 protein, HCA10, hepatocellular carcinoma associated protein, hepatocellular carcinoma-associated protein HCA10, hepatocellular carcinoma-associated protein JCL-1, JCL-1, MAGED, MAGE-D2, MAGE-D2 antigen, melanoma antigen family D, 2, melanoma antigen family D2, melanoma-associated antigen D2, MGC8386 | |
Rabbit | |
Antigen affinity chromatography | |
RUO | |
10916 | |
4° C | |
Liquid |
Immunohistochemistry, Immunoprecipitation, Western Blot | |
0.2 mg/ml | |
TBS with 0.1% BSA and 0.09% sodium azide | |
Q9UNF1 | |
MAGED2 | |
Between 1 and 50 | |
100 μL | |
Primary | |
Human | |
Antibody | |
IgG |
The Fisher Scientific Encompass Program offers items which are not part of our distribution portfolio. These products typically do not have pictures or detailed descriptions. However, we are committed to improving your shopping experience. Please use the form below to provide feedback related to the content on this product.