Promotional price valid on web orders only. Your contract pricing may differ. Interested in signing up for a dedicated account number?
Learn More
Learn More
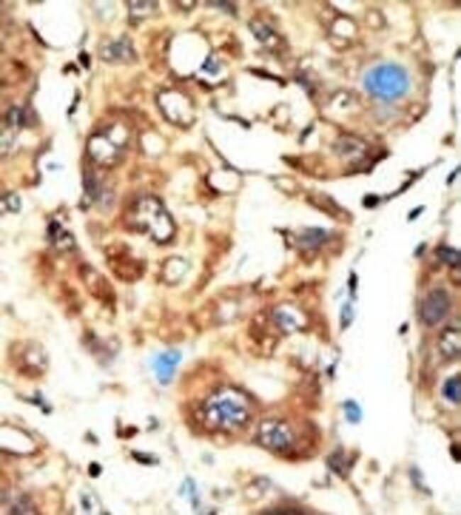
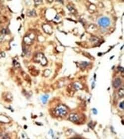
Invitrogen™ MAGI1 Polyclonal Antibody

Rabbit Polyclonal Antibody
Supplier: Invitrogen™ PA515496
Description
This antibody is predicted to react with rat based on sequence homology.
The protein encoded by this gene is a member of the membrane-associated guanylate kinase homologue (MAGUK) family. MAGUK proteins participate in the assembly of multiprotein complexes on the inner surface of the plasma membrane at regions of cell-cell contact. The product of this gene may play a role as scaffolding protein at cell-cell junctions. Alternatively spliced transcript variants encoding different isoforms have been identified.
Specifications
| MAGI1 | |
| Polyclonal | |
| Unconjugated | |
| Magi1 | |
| AIP3; AIP-3; Atrophin-1-interacting protein 3; BAI1-associated protein 1; Baiap1; BAP1; BAP-1; Gukmi1; MAGI1; Magi-1; MAGI1c; Magi1d; membrane associated guanylate kinase, WW and PDZ domain containing 1; membrane-associated guanylate kinase inverted 1; Membrane-associated guanylate kinase, WW and PDZ domain-containing protein 1; mKIAA4129; TNRC19; Trinucleotide repeat-containing gene 19 protein; WW domain-containing protein 3; WWP3 | |
| Rabbit | |
| Ammonium sulfate precipitation, Size-exclusion - Dialysis | |
| RUO | |
| 14924, 9223 | |
| Store at 4°C short term. For long term storage, store at -20°C, avoiding freeze/thaw cycles. | |
| Liquid |
| Immunohistochemistry (Paraffin), Western Blot | |
| 2 mg/mL | |
| PBS with 0.09% sodium azide; pH 7.4 | |
| Q6RHR9, Q96QZ7 | |
| Magi1 | |
| KLH conjugated synthetic peptide between 1227-1256 amino acids from the C-terminal region of human BAIAP1 (MAGI1). | |
| 400 μL | |
| Primary | |
| Human, Mouse | |
| Antibody | |
| IgG |
Safety and Handling
WARNING: Cancer - www.P65Warnings.ca.gov
Product Content Correction
Your input is important to us. Please complete this form to provide feedback related to the content on this product.
Product Title
Spot an opportunity for improvement?Share a Content Correction