Promotional price valid on web orders only. Your contract pricing may differ. Interested in signing up for a dedicated account number?
Learn More
Learn More
MAST3 Rabbit anti-Human, Mouse, Rat, Polyclonal, Proteintech

Rabbit Polyclonal Antibody
Supplier: Proteintech Group Inc 195071AP150UL
Description
MAST3 gene ontology annotations related to this gene include cytoskeleton organization; intracellular signal transduction; peptidyl-serine phosphorylation.Specifications
| MAST3 | |
| Polyclonal | |
| Unconjugated | |
| MAST3 | |
| KIAA0561, MAST3 | |
| Rabbit | |
| Antigen Affinity Chromatography | |
| RUO | |
| 23031, 546071, 688540 | |
| -20°C | |
| Liquid |
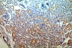
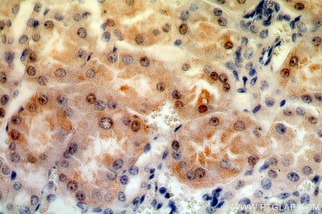
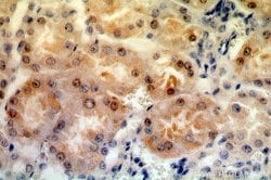
| Immunocytochemistry, Immunofluorescence, Immunohistochemistry (Paraffin), Immunoprecipitation, Western Blot | |
| 0.33 mg/mL | |
| PBS with 50% glycerol and 0.02% sodium azide; pH 7.3 | |
| O60307, Q3U214 | |
| Mast3 | |
| Peptide | |
| 150 μL | |
| Primary | |
| Human, Mouse, Rat | |
| Antibody | |
| IgG |
Product Content Correction
The Fisher Scientific Encompass Program offers items which are not part of our distribution portfolio. These products typically do not have pictures or detailed descriptions. However, we are committed to improving your shopping experience. Please use the form below to provide feedback related to the content on this product.
Product Title
Spot an opportunity for improvement?Share a Content Correction