Promotional price valid on web orders only. Your contract pricing may differ. Interested in signing up for a dedicated account number?
Learn More

Matrin 3 Rabbit anti-Human, Mouse, Polyclonal, Bethyl Laboratories

Catalog No. 501557990
Encompass_Preferred
Change view
Click to view available options
Quantity:
100 μL
1 product options available for selection
Product selection table with 1 available options. Use arrow keys to navigate and Enter or Space to select.
Catalog No. Quantity
50-155-7990 100 μL
Use arrow keys to navigate between rows. Press Enter or Space to select a product option. 1 options available.
1 options
Catalog No. 50-155-7990 Supplier Bethyl Laboratories, Inc Supplier No. A300591A
Only null left
Add to Cart
Add to Cart

Rabbit Polyclonal Antibody

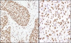
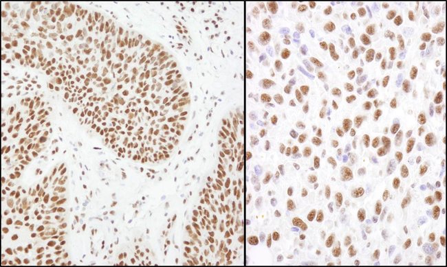
The recommended shelf life for this product is 1 year from date of receipt. Application Note: For IHC, epitope retrieval with citrate buffer pH 6.0 is recommended for FFPE tissue sections.

The protein encoded by this gene is localized in the nuclear matrix. It may play a role in transcription or may interact with other nuclear matrix proteins to form the internal fibrogranular network. Two transcript variants encoding the same protein have been identified for this gene.

Specifications

Antigen Matrin 3
Applications Immunofluorescence, Immunohistochemistry, Immunoprecipitation, Western Blot
Classification Polyclonal
Concentration 0.2 mg/ml
Conjugate Unconjugated
Formulation TBS with 0.1% BSA and 0.09% sodium azide
Gene MATR3
Gene Accession No. P43243, Q8K310
Gene Alias MPD2, VCPDM, matrin-3, vocal cord and pharyngeal weakness with distal myopathy
Gene Symbols MATR3
Host Species Rabbit
Immunogen Between 800 and C-term
Purification Method Antigen affinity chromatography
Quantity 100 μL
Regulatory Status RUO
Primary or Secondary Primary
Gene ID (Entrez) 17184, 9782
Target Species Human, Mouse
Content And Storage 4° C
Product Type Antibody
Form Liquid
Isotype IgG
Show More Show Less
Product Title
Select an issue

By clicking Submit, you acknowledge that you may be contacted by Fisher Scientific in regards to the feedback you have provided in this form. We will not share your information for any other purposes. All contact information provided shall also be maintained in accordance with our Privacy Policy.