Learn More
Matrin 3 Rabbit anti-Human, Mouse, Polyclonal, Bethyl Laboratories
Rabbit Polyclonal Antibody
Supplier: Bethyl Laboratories, Inc A300590AT

Description
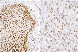
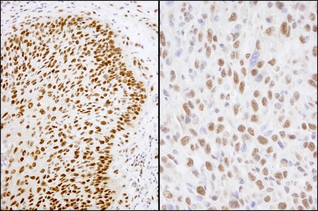
The recommended shelf life for this product is 1 year from date of receipt. Application Note: For IHC, epitope retrieval with citrate buffer pH 6.0 is recommended for FFPE tissue sections. Based on 100% sequence identity, this antibody is predicted to react with Rat
The protein encoded by this gene is localized in the nuclear matrix. It may play a role in transcription or may interact with other nuclear matrix proteins to form the internal fibrogranular network. Two transcript variants encoding the same protein have been identified for this gene.Specifications
Matrin 3 | |
Polyclonal | |
Unconjugated | |
MATR3 | |
MPD2, VCPDM, matrin-3, vocal cord and pharyngeal weakness with distal myopathy | |
Rabbit | |
Antigen affinity chromatography | |
RUO | |
17184, 9782 | |
4° C | |
Liquid |
Immunohistochemistry, Immunoprecipitation | |
1 mg/ml | |
phosphate, tris citrate with 0.09% sodium azide; pH 7-8 | |
P43243, Q8K310 | |
Matr3 | |
Between 475 and 500 | |
10 μL | |
Primary | |
Human, Mouse | |
Antibody | |
IgG |
The Fisher Scientific Encompass Program offers items which are not part of our distribution portfolio. These products typically do not have pictures or detailed descriptions. However, we are committed to improving your shopping experience. Please use the form below to provide feedback related to the content on this product.