Learn More
Invitrogen™ MCM2 Recombinant Rabbit Monoclonal Antibody (0Q10S9)

Description
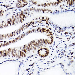
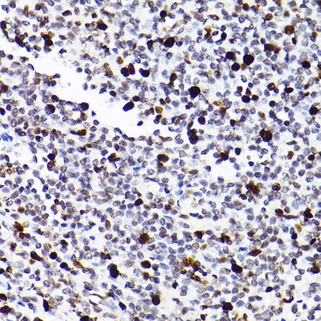
Positive test controls include: HeLa, 293T, C2C12. The target is usually found in the following locations: Nucleus. Immunogen sequence: MAESSESFTM ASSPAQRRRG NDPLTSSPGR SSRRTDALTS SPGRDLPPFE DESEGLLGTE GPLEEEEDGE ELIGDGMERD YRAIPELDAY EAEGLALDDE.
Specifications
Specifications
| Antigen | MCM2 |
| Applications | ELISA, Immunohistochemistry (Paraffin), Western Blot, Immunocytochemistry |
| Classification | Recombinant Monoclonal |
| Clone | 0Q10S9 |
| Concentration | 0.38 mg/mL |
| Conjugate | Unconjugated |
| Formulation | PBS with 0.05% BSA, 50% glycerol and 0.02% sodium azide; pH 7.3 |
| Gene | MCM2 |
| Gene Accession No. | P49736, P97310 |
| Gene Alias | AA959861; AW476101; BM28; CCNL1; cdc19; CDCL1; cell devision cycle-like 1; cyclin-like 1; D3S3194; DFNA70; DNA replication licensing factor MCM2; Kiaa0030; MCM DNA helicase complex subunit MCM2; Mcm2; Mcmd2; MGC10606; mini chromosome maintenance deficient 2; minichromosome maintenance complex component 2; minichromosome maintenance deficient 2 (mitotin); minichromosome maintenance deficient 2 mitotin; minichromosome maintenance deficient 2 mitotin (S. cerevisiae); Minichromosome maintenance protein 2; Minichromosome maintenance protein 2 homolog; MITOTIN; mKIAA0030; Nuclear protein BM28; YBL023C; YBL0438 |
| Show More |
By clicking Submit, you acknowledge that you may be contacted by Fisher Scientific in regards to the feedback you have provided in this form. We will not share your information for any other purposes. All contact information provided shall also be maintained in accordance with our Privacy Policy.