Learn More
Invitrogen™ MFGE8 Polyclonal Antibody

Rabbit Polyclonal Antibody
Supplier: Invitrogen™ PA5143884
Description
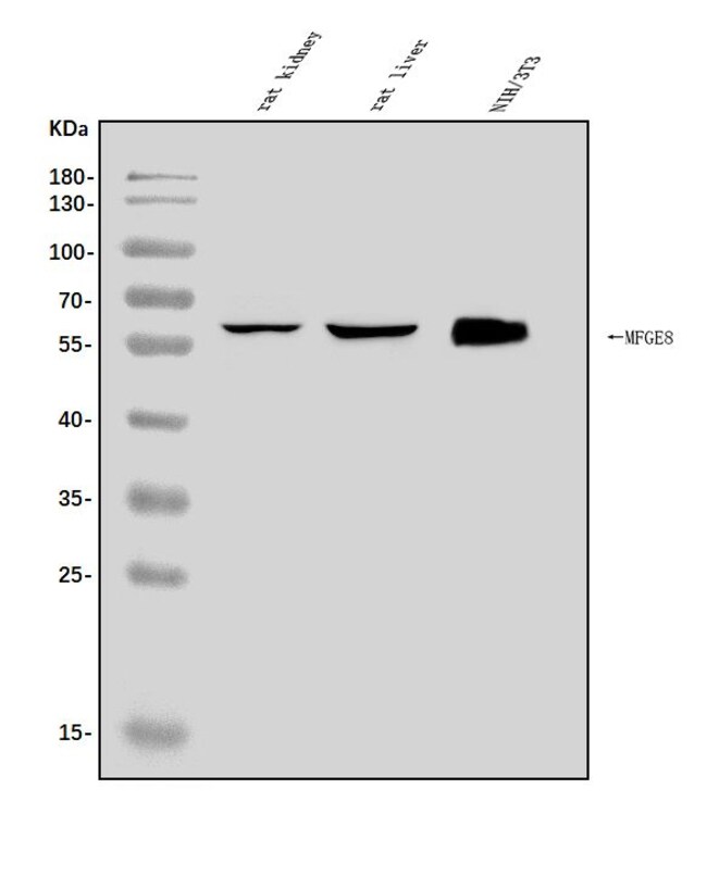
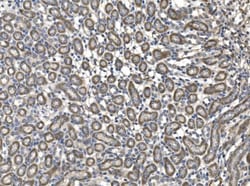
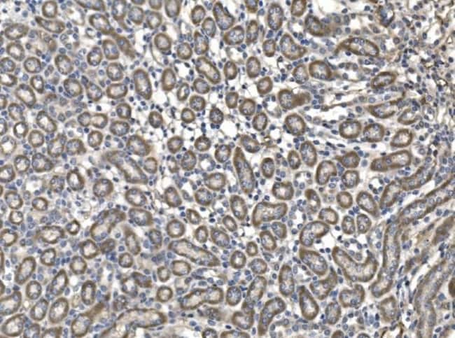
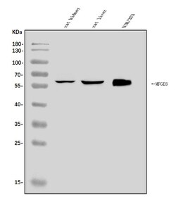
Adding 0.2 mL of distilled water will yield a concentration of 500 μg/mL. Positive Control - WB: rat kidney tissue, rat liver tissue, mouse NIH/3T3 whole cell. IHC: mouse kidney tissue. Flow: HEPA1-6 cell. Store at -20°C for one year from date of receipt. After reconstitution, at 4°C for one month. It can also be aliquotted and stored frozen at -20°C for six months. Avoid repeated freeze-thaw cycles.
This gene encodes a preproprotein that is proteolytically processed to form multiple protein products. The major encoded protein product, lactadherin, is a membrane glycoprotein that promotes phagocytosis of apoptotic cells. This protein has also been implicated in wound healing, autoimmune disease, and cancer. Lactadherin can be further processed to form a smaller cleavage product, medin, which comprises the major protein component of aortic medial amyloid (AMA). Alternative splicing results in multiple transcript variants.
Specifications
| MFGE8 | |
| Polyclonal | |
| Unconjugated | |
| MFGE8 | |
| AA408458; AGS; AI325141; BA46; breast epithelial antigen BA46; EDIL1; EGF/factor VIII; HMFG; hP47; HsT19888; lactadherin; Lactadherin short form; Medin; Mfge8; MFG-E8; MFGM; MFGME8; MFGMP-E8; milk fat globule glycoprotein; milk fat globule membrane; milk fat globule membrane protein; Milk fat globule-EGF factor 8; milk fat globule-EGF factor 8 protein; MP47; O-acetyl disialoganglioside synthase; O-acetyl GD3 ganglioside synthase; O-acetyltransferase milk fat globule membrane protein; O-acetyltransferase Milk fat glolbule membrane protein; OAcGD3S; P47; SED1; SPAG10; sperm associated antigen 10; sperm surface protein hP47; sperm surface protein SP47 | |
| Rabbit | |
| Antigen affinity chromatography | |
| RUO | |
| 17304, 25277 | |
| -20°C | |
| Lyophilized |
| ELISA, Flow Cytometry, Immunohistochemistry (Paraffin), Western Blot | |
| 500 μg/mL | |
| PBS with 4mg trehalose and no preservative | |
| P21956, P70490 | |
| MFGE8 | |
| E.coli-derived mouse Milk Fat Globule 1/Mfge8 recombinant protein (Position: A23-C463). | |
| 100 μg | |
| Primary | |
| Mouse, Rat | |
| Antibody | |
| IgG |
Your input is important to us. Please complete this form to provide feedback related to the content on this product.