Promotional price valid on web orders only. Your contract pricing may differ. Interested in signing up for a dedicated account number?
Learn More

MIS12 Rabbit anti-Human, Polyclonal, Bethyl Laboratories

Rabbit Polyclonal Antibody

Supplier:  Bethyl Laboratories, Inc A300776A

Encompass_Preferred

Catalog No. 50-155-8415


May include imposed supplier surcharges.
Only null left
Add to Cart

Description

Description

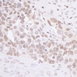
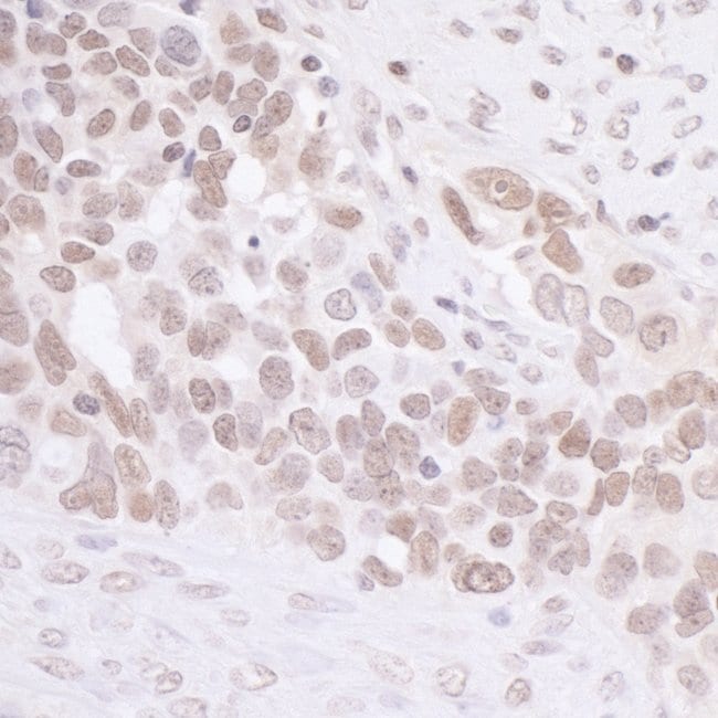
The recommended shelf life for this product is 1 year from date of receipt. Application Note: For IHC, epitope retrieval with citrate buffer pH 6.0 is recommended for FFPE tissue sections. Based on 100% sequence identity, this antibody is predicted to react with Orangutan

This protein is part of the MIS12 complex which is required for normal chromosome alignment and segregation and for kinetochore formation during mitosis.
Specifications

Specifications

MIS12
Polyclonal
Unconjugated
MIS12
MTW1, hMis12, 2510025F08Rik, KNTC2AP, MIS12, MIND kinetochore complex component, homolog (S. pombe)
Rabbit
Antigen affinity chromatography
RUO
79003
4° C
Liquid
Immunohistochemistry, Immunoprecipitation, Western Blot
1 mg/ml
phosphate, tris citrate with 0.09% sodium azide; pH 7-8
Q9H081
MIS12
Between 150 and C-term
100 μL
Primary
Human
Antibody
IgG
Product Suggestions

Product Suggestions

Videos
SDS
Documents

Documents

Product Certifications
Promotions

Promotions

Product Content Correction

The Fisher Scientific Encompass Program offers items which are not part of our distribution portfolio. These products typically do not have pictures or detailed descriptions. However, we are committed to improving your shopping experience. Please use the form below to provide feedback related to the content on this product.

Product Title

By clicking Submit, you acknowledge that you may be contacted by Fisher Scientific in regards to the feedback you have provided in this form. We will not share your information for any other purposes. All contact information provided shall also be maintained in accordance with our Privacy Policy.

Your feedback has been submitted: Thank you for helping us improve our website.