Learn More
Invitrogen™ MLH1 Recombinant Rabbit Monoclonal Antibody (PD01-61)

Description
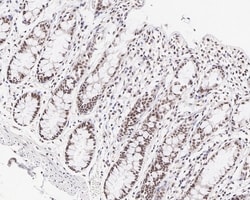
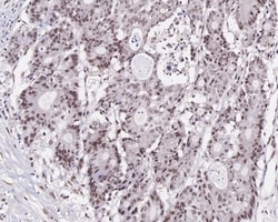
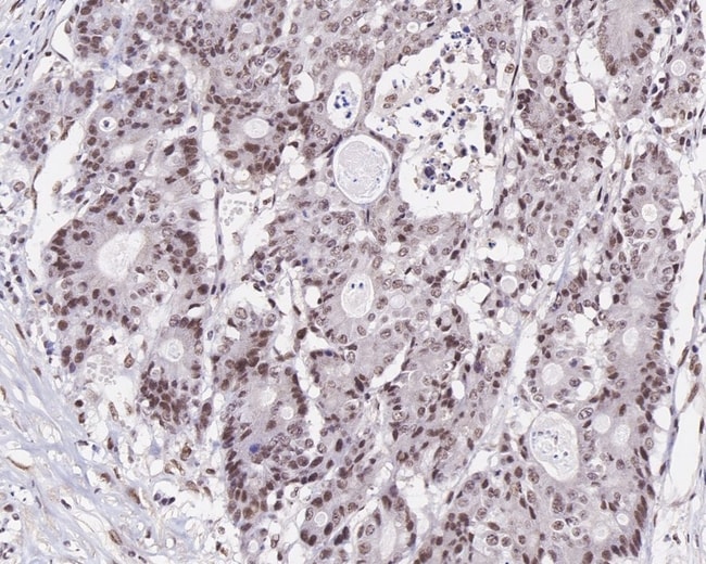
Positive control: K562 cell lysates, human colon tissue, rat small intestine tissue, human colon carcinoma tissue, human tonsil tissue. Predicted band size: 85 kDa Subcellular Location: Nucleus.
Specifications
Specifications
| Antigen | MLH1 |
| Applications | Immunohistochemistry (Paraffin), Western Blot |
| Classification | Recombinant Monoclonal |
| Clone | PD01-61 |
| Concentration | 1 mg/mL |
| Conjugate | Unconjugated |
| Formulation | PBS with 0.1% BSA, 40% glycerol and 0.05% sodium azide; pH 7.4 |
| Gene | Mlh1 |
| Gene Accession No. | P40692, P97679 |
| Gene Alias | 1110035C23Rik; AI317206; AI325952; AI561766; COCA2; colon cancer, nonpolyposis type 2; DNA mismatch repair protein Mlh1; DNA mismatch repair protein Mlh1-like protein; FCC2; hMLH1; HNPCC; HNPCC2; I79_014127; MGC5172; mismatch repair protein 1; MLH1; MLH-1; mutL homolog 1; mutL homolog 1 (E. coli); mutL homolog 1, colon cancer, nonpolyposis type 2; mutL homolog 1, colon cancer, nonpolyposis type 2 (E. coli); mutL protein homolog 1 |
| Show More |
By clicking Submit, you acknowledge that you may be contacted by Fisher Scientific in regards to the feedback you have provided in this form. We will not share your information for any other purposes. All contact information provided shall also be maintained in accordance with our Privacy Policy.