Promotional price valid on web orders only. Your contract pricing may differ. Interested in signing up for a dedicated account number?
Learn More
Learn More
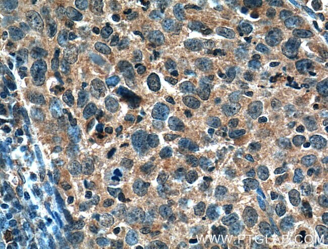
MMP1 Rabbit anti-Human, Polyclonal, Proteintech

Rabbit Polyclonal Antibody
Supplier: Proteintech Group Inc 265851AP150UL

Description
Proteins of the matrix metalloproteinase (MMP) family are involved in the breakdown of extracellular matrix in normal physiological processes, such as embryonic development, reproduction, and tissue remodeling, as well as in disease processes, such as arthritis and metastasis. Most MMP′s are secreted as inactive proproteins which are activated when cleaved by extracellular proteinases. This gene encodes a secreted enzyme which breaks down the interstitial collagens, types I, II, and III. The gene is part of a cluster of MMP genes which localize to chromosome 11q22.3. Alternative splicing results in multiple transcript variants.Specifications
MMP1 | |
Polyclonal | |
Unconjugated | |
MMP1 | |
CLG, CLGN, Fibroblast collagenase, Interstitial collagenase, Matrix metalloproteinase 1, MMP 1, MMP1 | |
Rabbit | |
Antigen Affinity Chromatography | |
RUO | |
4312 | |
-20°C | |
Liquid |
Immunohistochemistry (Paraffin), Immunoprecipitation, Western Blot | |
0.37 mg/mL | |
PBS with 50% glycerol and 0.1% sodium azide; pH 7.3 | |
P03956 | |
MMP1 | |
MMP1 Fusion Protein Ag25073 | |
150 μL | |
Primary | |
Human | |
Antibody | |
IgG |
Product Content Correction
The Fisher Scientific Encompass Program offers items which are not part of our distribution portfolio. These products typically do not have pictures or detailed descriptions. However, we are committed to improving your shopping experience. Please use the form below to provide feedback related to the content on this product.
Product Title
Spot an opportunity for improvement?Share a Content Correction