Learn More
Invitrogen™ MMP3 Recombinant Rabbit Monoclonal Antibody (JM46-22)

Description
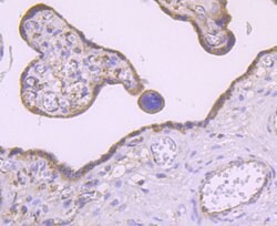
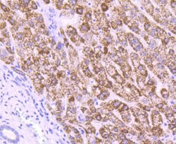
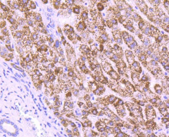
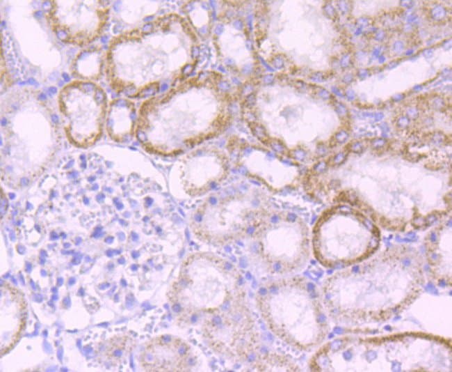
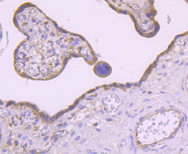
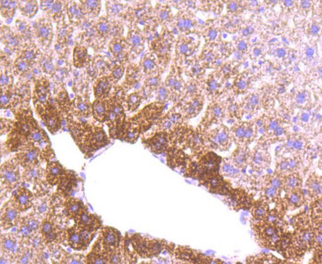
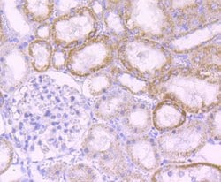
Positive Control: Human liver tissue lysate, rat liver tissue lysate, rat kidney tissue, human liver tissue, human placenta tissue, mouse liver tissue. Subcellular Location: extracellular matrix.
Specifications
Specifications
| Antigen | MMP3 |
| Applications | Immunohistochemistry (Paraffin), Western Blot |
| Classification | Recombinant Monoclonal |
| Clone | JM46-22 |
| Concentration | 1 mg/mL |
| Conjugate | Unconjugated |
| Formulation | TBS with 0.05% BSA, 40% glycerol and 0.05% sodium azide; pH 7.4 |
| Gene | MMP3 |
| Gene Accession No. | P03957, P08254, P28862 |
| Gene Alias | CHDS6; EC 3.4.24.17; EMS-2; matrix metallo protease; matrix metallopeptidase 3; matrix metallopeptidase 3 (stromelysin 1, progelatinase); matrix metalloproteinase 3; matrix metalloproteinase 3 (stromelysin 1, progelatinase); matrix metalloproteinase 3 precursor; matrix metalloproteinase-3; metalloproteinase 3 receptor; MMP; MMP10; MMP3; MMP-3; MMP-3 protein; MMPs; progelatinase; proteoglycanase; SL-1; SLN1; SLN-1; STMY; STMY1; Str1; STR-1; stromelysin; stromelysin 1; Stromelysin1; stromelysin-1; Transin1; Transin-1 |
| Show More |
By clicking Submit, you acknowledge that you may be contacted by Fisher Scientific in regards to the feedback you have provided in this form. We will not share your information for any other purposes. All contact information provided shall also be maintained in accordance with our Privacy Policy.