Learn More
Mouse Mer Antibody, R&D Systems™

Description
Specifications
Specifications
| Antigen | Mer |
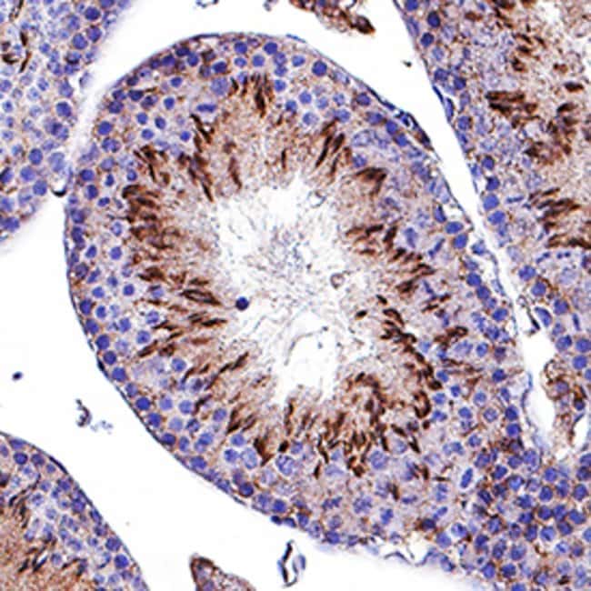
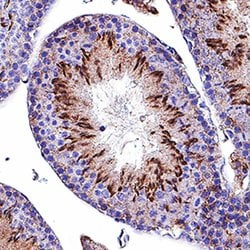
| Applications | Flow Cytometry, Immunohistochemistry, CyTOF, In Situ Hybridization (ISH) |
| Classification | Polyclonal |
| Concentration | LYOPH |
| Conjugate | Unconjugated |
| Dilution | Flow Cytometry 2.5 ug/10^6 cells, Immunohistochemistry 1-15 ug/mL, CyTOF-ready, Dual RNAscope ISH-IHC 1-15 ug/mL |
| Gene Accession No. | Q60805 |
| Gene Alias | c-Eyk, C-mer, c-mer proto-oncogene tyrosine kinase, EC 2.7.10, EC 2.7.10.1, MER, MER receptor tyrosine kinase, MerTK, MGC133349, Receptor tyrosine kinase MerTK, RP38Proto-oncogene c-Mer, STK kinase, tyrosine-protein kinase Mer |
| Gene Symbols | MERTK |
| Host Species | Goat |
| Show More |
By clicking Submit, you acknowledge that you may be contacted by Fisher Scientific in regards to the feedback you have provided in this form. We will not share your information for any other purposes. All contact information provided shall also be maintained in accordance with our Privacy Policy.