Promotional price valid on web orders only. Your contract pricing may differ. Interested in signing up for a dedicated account number?
Learn More
Learn More
MRPL48 Monoclonal Antibody (OTI8E1), TrueMAB™, OriGene

Mouse Monoclonal Antibody
Supplier: OriGene TA810858

Description
Mammalian mitochondrial ribosomal proteins are encoded by nuclear genes and help in protein synthesis within the mitochondrion. Mitochondrial ribosomes (mitoribosomes) consist of a small 28S subunit and a large 39S subunit. They have an estimated 75% protein to rRNA composition compared to prokaryotic ribosomes, where this ratio is reversed. Another difference between mammalian mitoribosomes and prokaryotic ribosomes is that the latter contain a 5S rRNA. Among different species, the proteins comprising the mitoribosome differ greatly in sequence, and sometimes in biochemical properties, which prevents easy recognition by sequence homology. This gene encodes a 39S subunit protein. A pseudogene corresponding to this gene is found on chromosome 6p.Specifications
MRPL48 | |
Monoclonal | |
Unconjugated | |
MRPL48 | |
CGI-118, HSPC290, L48MT, MRP-L48 | |
Mouse | |
Affinity Chromatography | |
RUO | |
51642 | |
-20° C, Avoid Freeze/Thaw Cycles | |
Liquid |
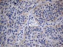
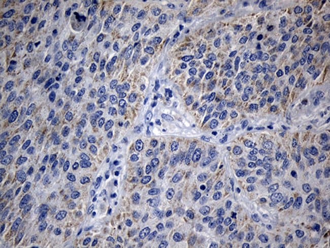
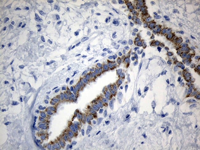
Immunohistochemistry (Paraffin), Western Blot | |
OTI8E1 | |
PBS with 1% BSA, 50% glycerol and 0.02% sodium azide | |
Q96GC5 | |
MRPL48 | |
Full length human recombit protein of human MRPL48 produced in E.coli. | |
100 μL | |
Primary | |
Human | |
Antibody | |
IgG2a |
Product Content Correction
The Fisher Scientific Encompass Program offers items which are not part of our distribution portfolio. These products typically do not have pictures or detailed descriptions. However, we are committed to improving your shopping experience. Please use the form below to provide feedback related to the content on this product.
Product Title
Spot an opportunity for improvement?Share a Content Correction