Learn More
Invitrogen™ MRPS35 Polyclonal Antibody

Description
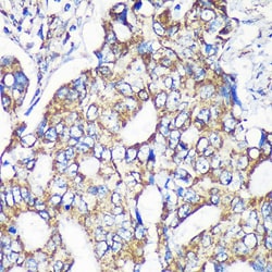
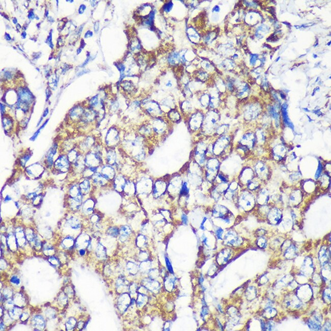
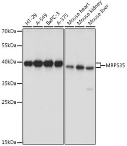
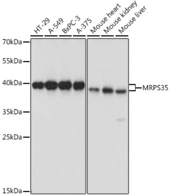
Immunogen sequence: MAAAALPAWL SLQSRARTLR AFSTAVYSAT PVPTPSLPER TPGNERPPRR KALPPRTEKM AVDQDWPSVY PVAAPFKPSA VPLPVRMGYP VKKGVPMAKE GNLELLKIPN FLHLTPVAIK KHCEALKDFC TEWPAALDSD EKCEKHFPIE IDSTDYVSSG PSVRNPRARV VVLRVKLSSL NLDDHAKKKL IKLVGERYCK TTDVLTIKTD RCPLRRQNYD YAVYLLTVLY HESWNTEEWE KSKTEADMEE YIWENSSSER NILETLLQMK AAEKNMEINK EELLGTKEIE EYKKSVVSLK NEEENENSIS QYKESVKRLL NVT; Positive Samples: HT-29, A-549, BxPC-3, A-375, Mouse heart, Mouse kidney, Mouse liver; Cellular Location: Mitochondrion.
Specifications
Specifications
| Antigen | MRPS35 |
| Applications | ELISA, Immunohistochemistry (Paraffin), Western Blot, Immunocytochemistry |
| Classification | Polyclonal |
| Concentration | 0.47 mg/mL |
| Conjugate | Unconjugated |
| Formulation | PBS with 50% glycerol and 0.01% thimerosal; pH 7.3 |
| Gene | MRPS35 |
| Gene Accession No. | P82673, Q8BJZ4 |
| Gene Alias | 28S ribosomal protein S28, mitochondrial; 28S ribosomal protein S35, mitochondrial; HDCMD11P; MDS023; MDSO23; mitochondrial ribosomal protein S28; mitochondrial ribosomal protein S34; mitochondrial ribosomal protein S35; Mitochondrial small ribosomal subunit protein mS35; MRPS28; MRP-S28; Mrps35; MRP-S35; PSEC0213; S28mt; S35mt |
| Gene Symbols | MRPS35 |
| Show More |
By clicking Submit, you acknowledge that you may be contacted by Fisher Scientific in regards to the feedback you have provided in this form. We will not share your information for any other purposes. All contact information provided shall also be maintained in accordance with our Privacy Policy.