Learn More
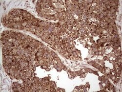
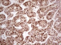
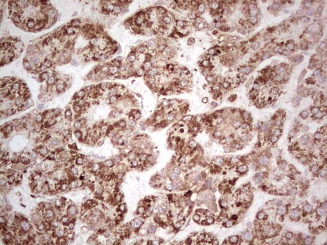
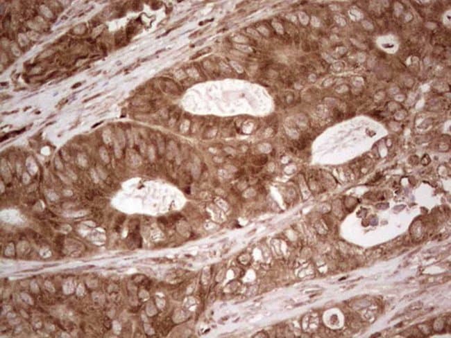
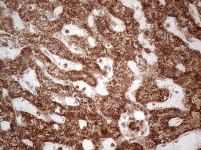
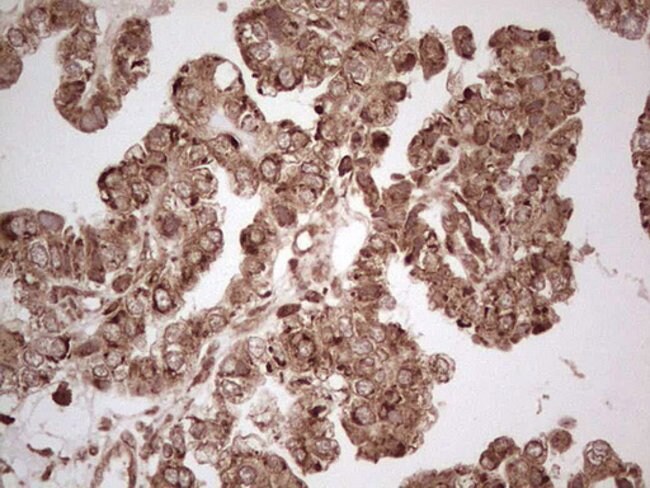
MTDH Monoclonal Antibody (OTI6H2), TrueMAB™, OriGene

Description
Specifications
Specifications
| Antigen | MTDH |
| Applications | Immunohistochemistry (Paraffin), Western Blot |
| Classification | Monoclonal |
| Clone | OTI6H2 |
| Conjugate | Unconjugated |
| Formulation | PBS with 1% BSA, 50% glycerol and 0.02% sodium azide |
| Gene | MTDH |
| Gene Accession No. | Q86UE4 |
| Gene Alias | 3D3, AEG-1, AEG1, LYRIC, LYRIC/3D3 |
| Gene Symbols | MTDH |
| Show More |
By clicking Submit, you acknowledge that you may be contacted by Fisher Scientific in regards to the feedback you have provided in this form. We will not share your information for any other purposes. All contact information provided shall also be maintained in accordance with our Privacy Policy.