Promotional price valid on web orders only. Your contract pricing may differ. Interested in signing up for a dedicated account number?
Learn More
Learn More
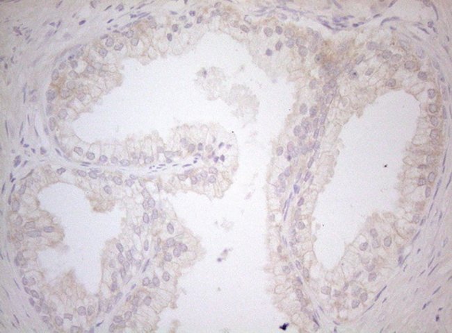
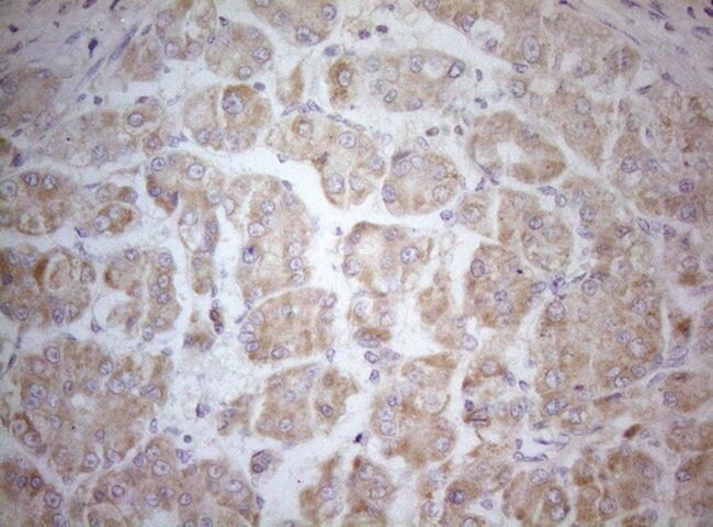
MXD4 Monoclonal Antibody (OTI7F7), TrueMAB™, OriGene

Mouse Monoclonal Antibody
Supplier: OriGene TA808928
Description
This gene is a member of the MAD gene family. The MAD genes encode basic helix-loop-helix-leucine zipper proteins that heterodimerize with MAX protein, forming a transcriptional repression complex. The MAD proteins compete for MAX binding with MYC, which heterodimerizes with MAX forming a transcriptional activation complex. Studies in rodents suggest that the MAD genes are tumor suppressors and contribute to the regulation of cell growth in differentiating tissues.Specifications
| MXD4 | |
| Monoclonal | |
| 1 mg/mL | |
| PBS with 1% BSA, 50% glycerol and 0.02% sodium azide | |
| Q14582 | |
| MXD4 | |
| Full length human recombit protein of human MXD4 produced in E.coli. | |
| 100 μL | |
| Primary | |
| Human | |
| Antibody | |
| IgG2b |
| Immunohistochemistry (Paraffin), Western Blot | |
| OTI7F7 | |
| Unconjugated | |
| MXD4 | |
| MAD4, MST149, MSTP149, bHLHc12 | |
| Mouse | |
| Affinity Chromatography | |
| RUO | |
| 10608 | |
| -20° C, Avoid Freeze/Thaw Cycles | |
| Liquid |
Product Content Correction
The Fisher Scientific Encompass Program offers items which are not part of our distribution portfolio. These products typically do not have pictures or detailed descriptions. However, we are committed to improving your shopping experience. Please use the form below to provide feedback related to the content on this product.
Product Title
Spot an opportunity for improvement?Share a Content Correction