Learn More
Invitrogen™ NINL Polyclonal Antibody

Description
Immunogen sequence: LHEKSQEVIW GLQEQLQDTA RGPEPEQMGL APCCTQALCG LALRHHSHLQ QIRREAEAEL SGELSGLGAL PARRDLTLEL EEPPQGPLPR GSQRSEQLEL ERALKL Highest antigen sequence identity to the following orthologs: Mouse - 47%, Rat - 49%.
Specifications
Specifications
| Antigen | NINL |
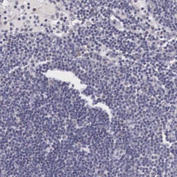
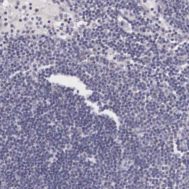
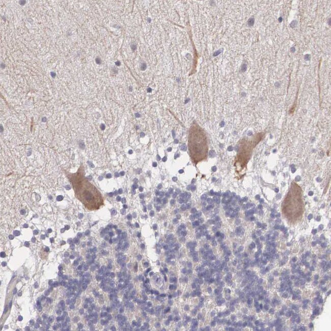
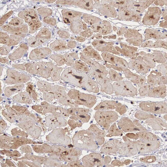
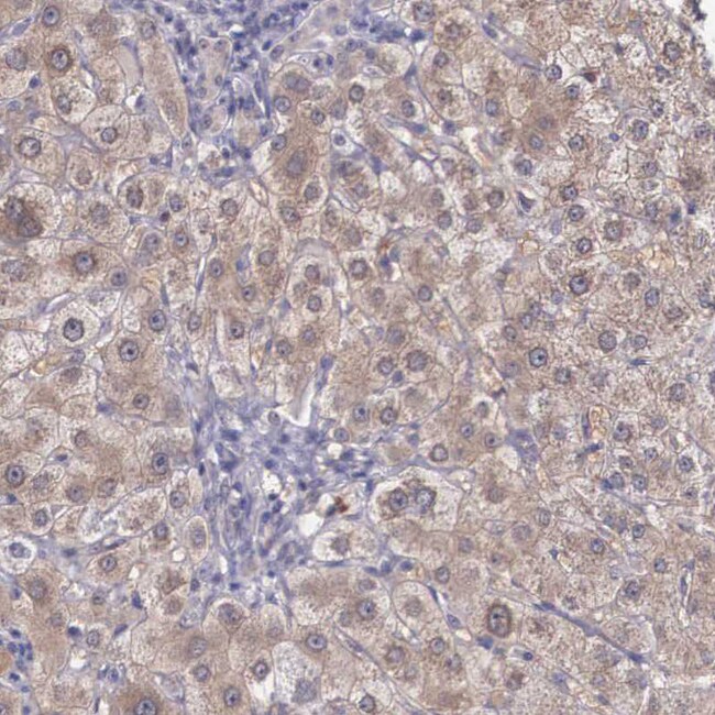
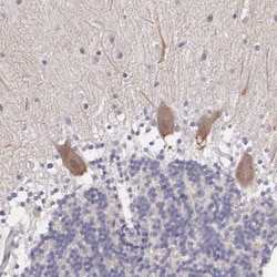
| Applications | Immunohistochemistry (Paraffin), Immunocytochemistry |
| Classification | Polyclonal |
| Concentration | 0.2 mg/mL |
| Conjugate | Unconjugated |
| Formulation | PBS with 40% glycerol and 0.02% sodium azide; pH 7.2 |
| Gene | NINL |
| Gene Accession No. | Q9Y2I6 |
| Gene Alias | 4930519N13Rik; Gm1004; Gm1634; Kiaa0980; LOW QUALITY PROTEIN: ninein-like protein; mKIAA0980; ninein like; ninein-like; ninein-like protein; NINL; Nlp; RGD1306152 |
| Gene Symbols | NINL |
| Show More |
Safety and Handling
By clicking Submit, you acknowledge that you may be contacted by Fisher Scientific in regards to the feedback you have provided in this form. We will not share your information for any other purposes. All contact information provided shall also be maintained in accordance with our Privacy Policy.