Promotional price valid on web orders only. Your contract pricing may differ. Interested in signing up for a dedicated account number?
Learn More
Learn More
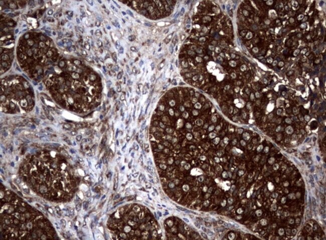
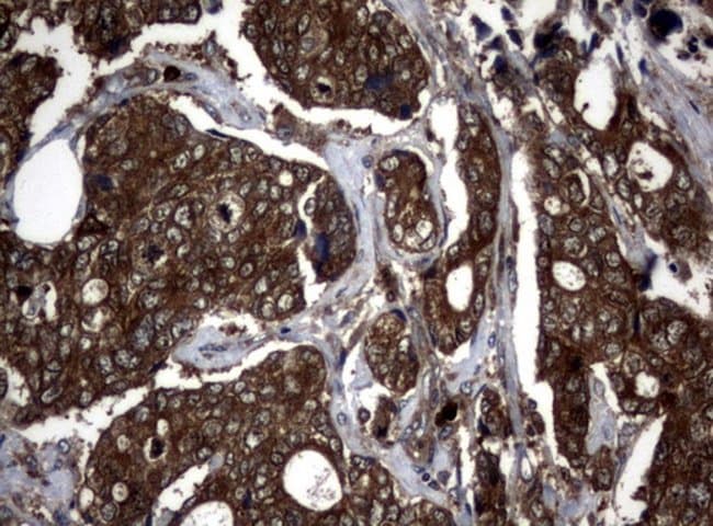
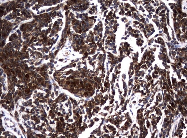
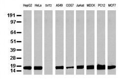
NME1 Mouse anti-Canine, Human, Rat, Clone: UMAB91, liquid, UltraMAB™

Mouse Monoclonal Antibody
Supplier: OriGene UM800022
Description
NME1 was identified because of its reduced mRNA transcript levels in highly metastatic cells. Nucleoside diphosphate kinase (NDK) exists as a hexamer composed of ′A′ (encoded by this gene) and ′B′ (encoded by NME2) isoforms. Mutations in the gene have been identified in aggressive neuroblastomas. Two transcript variants encoding different isoforms have been found for this gene. Co-transcription of this gene and the neighboring downstream gene (NME2) generates naturally-occurring transcripts (NME1-NME2), which encodes a fusion protein comprised of sequence sharing identity with each individual gene product.Specifications
| NME1 | |
| Monoclonal | |
| Unconjugated | |
| NME1 | |
| AWD, GAAD, NB, NBS, NDKA, NDPK-A, NDPKA, NM23, NM23-H1 | |
| Mouse | |
| Affinity Chromatography | |
| RUO | |
| 191575, 480558, 4830 | |
| -20° C, Avoid Freeze/Thaw Cycles | |
| Liquid |
| Immunocytochemistry, Immunofluorescence, Immunohistochemistry (Paraffin) | |
| UMAB91 | |
| PBS with 1% BSA, 50% glycerol and 0.02% sodium azide | |
| P15531, Q05982, Q50KA9 | |
| NME1 | |
| Full length human recombit protein of human NME1 produced in E.coli. | |
| 100 μL | |
| Primary | |
| Canine, Human, Rat | |
| Antibody | |
| IgG2a |
Product Content Correction
The Fisher Scientific Encompass Program offers items which are not part of our distribution portfolio. These products typically do not have pictures or detailed descriptions. However, we are committed to improving your shopping experience. Please use the form below to provide feedback related to the content on this product.
Product Title
Spot an opportunity for improvement?Share a Content Correction