Learn More
NMI Rabbit anti-Human, Polyclonal, Bethyl Laboratories
Rabbit Polyclonal Antibody
Supplier: Bethyl Laboratories, Inc A300551A

Description
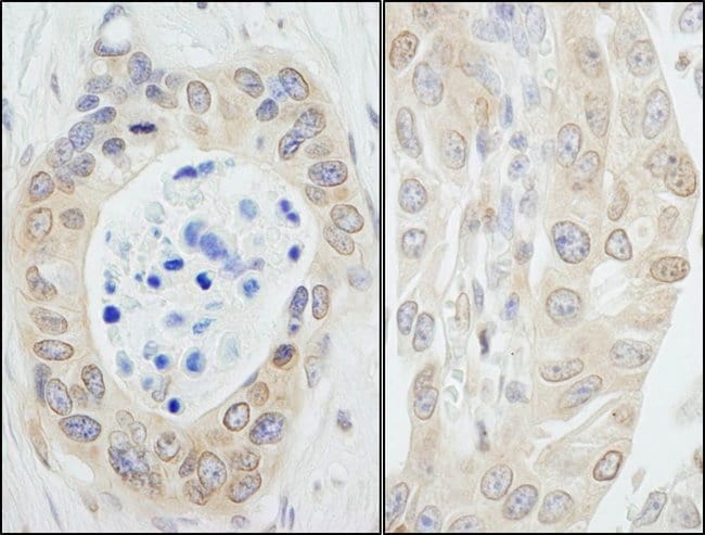
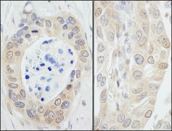
The recommended shelf life for this product is 1 year from date of receipt. Application Note: For IHC, epitope retrieval with citrate buffer pH 6.0 is recommended for FFPE tissue sections.
NMYC interactor (NMI) encodes a protein that interacts with NMYC and CMYC (two members of the oncogene Myc family), and other transcription factors containing a Zip, HLH, or HLH-Zip motif. The NMI protein also interacts with all STATs except STAT2 and augments STAT-mediated transcription in response to cytokines IL2 and IFN-gamma. The NMI mRNA has low expression levels in all human fetal and adult tissues tested except brain and has high expression in cancer cell line-myeloid leukemias.Specifications
NMI | |
Polyclonal | |
Unconjugated | |
NMI | |
N-myc interactor, N-myc-interactor | |
Rabbit | |
Antigen affinity chromatography | |
RUO | |
9111 | |
4° C | |
Liquid |
Immunohistochemistry, Western Blot | |
0.2 mg/ml | |
TBS with 0.1% BSA and 0.09% sodium azide | |
Q13287 | |
NMI | |
Between 250 and C-term | |
100 μL | |
Primary | |
Human | |
Antibody | |
IgG |
The Fisher Scientific Encompass Program offers items which are not part of our distribution portfolio. These products typically do not have pictures or detailed descriptions. However, we are committed to improving your shopping experience. Please use the form below to provide feedback related to the content on this product.