Promotional price valid on web orders only. Your contract pricing may differ. Interested in signing up for a dedicated account number?
Learn More
Learn More
Invitrogen™ Noggin Polyclonal Antibody

Rabbit Polyclonal Antibody
Supplier: Invitrogen™ PA5109231
Description
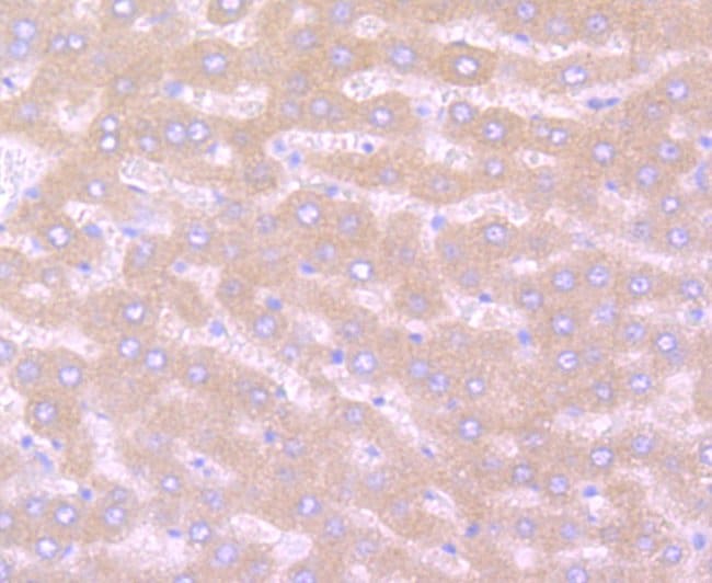
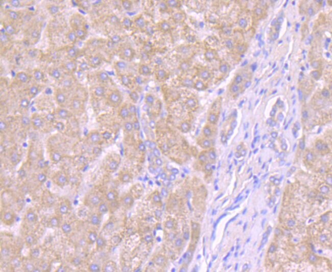
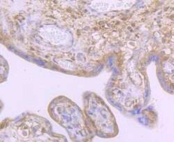
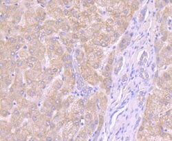
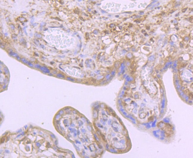
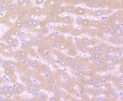
Positive Control: Noggin Recombinant protein, PC-3M, rat liver tissue, human liver tissue, human placenta tissue.
Noggin is involved in numerous developmental processes, such as neural tube fusion and joint formation. The morphogenesis of organs is initiated by a downgrowth from a layer of epithelial stem cells. This process is achieved through the receipt of signals from 1) a WNT protein (WNT3A) to stabilize beta-catenin; and 2) Noggin, which is a bone morphogenetic protein inhibitor. Noggin mutations in unrelated families with proximal symphalangism (SYM1) and multiple synostoses syndrome (SYNS1) have been identified, which have multiple joint fusion as their principal defect.
Specifications
Noggin | |
Polyclonal | |
Unconjugated | |
NOG | |
NOG; Noggin; Noggin precursor; noggin; LOW QUALITY PROTEIN: noggin; SYM1; symphalangism 1 (proximal); SYNS1; SYNS1A | |
Rabbit | |
Affinity chromatography | |
RUO | |
9241 | |
-20°C, Avoid Freeze/Thaw Cycles, store in dark | |
Liquid |
Flow Cytometry, Immunohistochemistry (Paraffin), Western Blot, Immunocytochemistry | |
1 mg/mL | |
PBS with 0.2% BSA, 50% glycerol and 0.05% sodium azide; pH 7.4 | |
Q13253 | |
NOG | |
Recombinant full length protein of Human Noggin. | |
100 μL | |
Primary | |
Human | |
Antibody | |
IgG |
Product Content Correction
Your input is important to us. Please complete this form to provide feedback related to the content on this product.
Product Title
Spot an opportunity for improvement?Share a Content Correction