Promotional price valid on web orders only. Your contract pricing may differ. Interested in signing up for a dedicated account number?
Learn More
Learn More
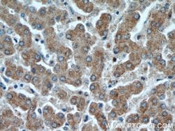
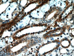
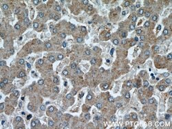
NUDT19 Rabbit anti-Human, Polyclonal, Proteintech

Rabbit Polyclonal Antibody
Supplier: Proteintech Group Inc 551261AP150UL

Description
The antibody is specific to NUDT19.
NUDT19 is a coenzyme A diphosphatase that mediates the hydrolysis of a wide range of CoA esters, including choloyl-CoA and branched-chain fatty-acyl-CoA esters. At low substrate concentrations medium and long-chain fatty-acyl-CoA esters, NUDT19 are the primary substrates.Specifications
NUDT19 | |
Polyclonal | |
Unconjugated | |
NUDT19 | |
Nudix motif 19, NUDT19, RP2 | |
Rabbit | |
Antigen Affinity Chromatography | |
RUO | |
390916 | |
-20°C | |
Liquid |
Immunohistochemistry (Paraffin), Western Blot | |
0.59 mg/mL | |
PBS with 50% glycerol and 0.02% sodium azide; pH 7.3 | |
A8MXV4 | |
NUDT19 | |
Peptide | |
150 μL | |
Primary | |
Human | |
Antibody | |
IgG |
Product Content Correction
The Fisher Scientific Encompass Program offers items which are not part of our distribution portfolio. These products typically do not have pictures or detailed descriptions. However, we are committed to improving your shopping experience. Please use the form below to provide feedback related to the content on this product.
Product Title
Spot an opportunity for improvement?Share a Content Correction