Learn More
Invitrogen™ NUP153 Recombinant Rabbit Monoclonal Antibody (3I5V3)

Description
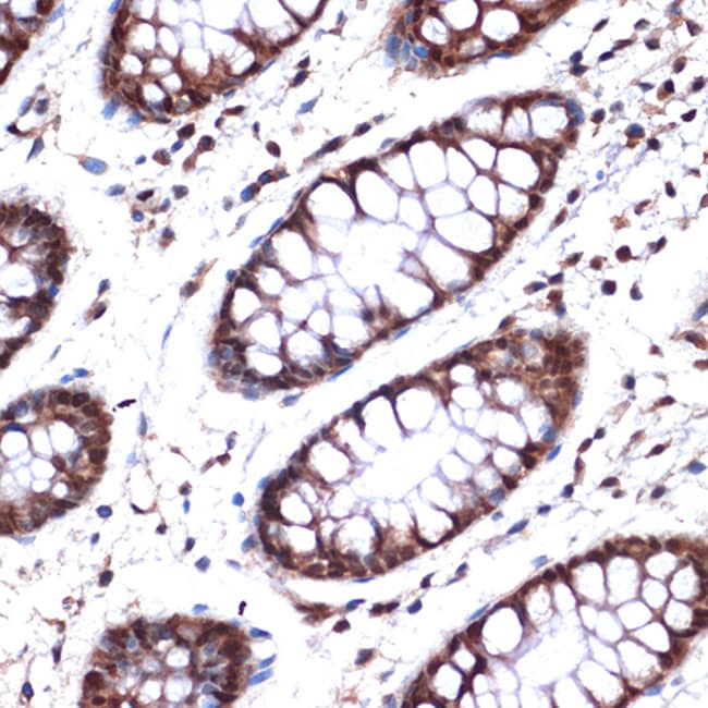
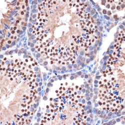
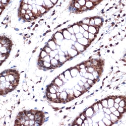
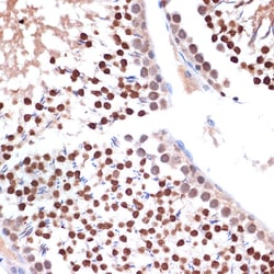
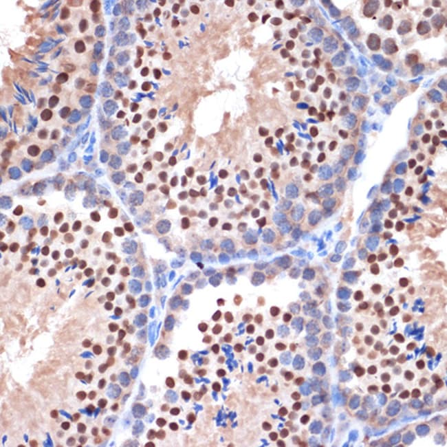
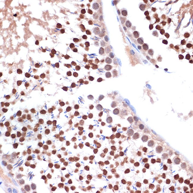
Positive Samples: HeLa, K-562, Mouse testis.
Specifications
Specifications
| Antigen | NUP153 |
| Applications | ELISA, Immunohistochemistry (Paraffin), Western Blot, Immunocytochemistry |
| Classification | Recombinant Monoclonal |
| Clone | 3I5V3 |
| Concentration | 0.5 mg/mL |
| Conjugate | Unconjugated |
| Formulation | PBS with 0.05% BSA, 50% glycerol and 0.02% sodium azide; pH 7.3 |
| Gene | NUP153 |
| Gene Accession No. | P49790, P49791 |
| Gene Alias | 153 kDa nucleoporin; B130015D15Rik; C88147; HNUP153; N153; nuclear pore complex protein hnup153; nuclear pore complex protein Nup153; nucleoporin 153; nucleoporin 153kD; nucleoporin 153kDa; nucleoporin 153kDa L homeolog; nucleoporin Nup153; nucleoporin Nup153 homolog; NUCZINK; nup153; nup153.L; XELAEV_18031694mg |
| Show More |
By clicking Submit, you acknowledge that you may be contacted by Fisher Scientific in regards to the feedback you have provided in this form. We will not share your information for any other purposes. All contact information provided shall also be maintained in accordance with our Privacy Policy.