Promotional price valid on web orders only. Your contract pricing may differ. Interested in signing up for a dedicated account number?
Learn More
Learn More
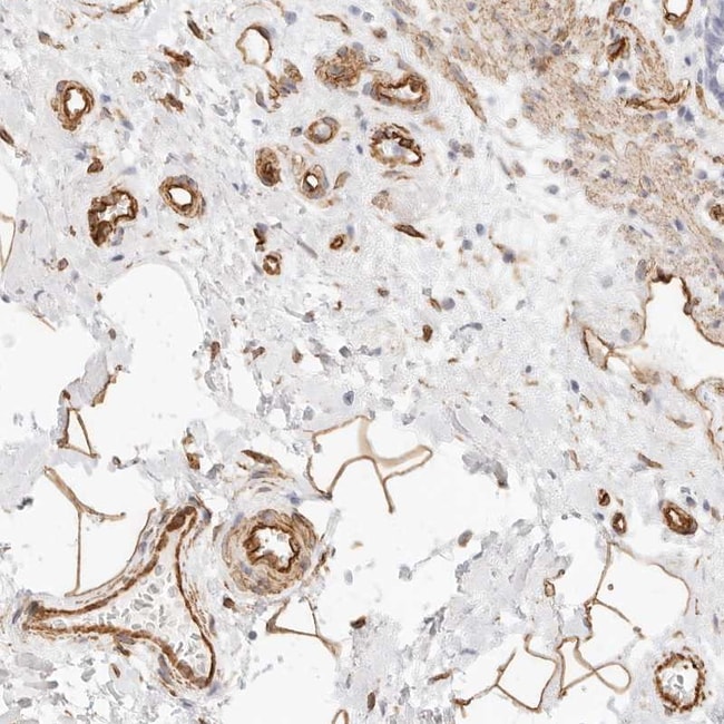
Invitrogen™ NUS1 Polyclonal Antibody

Rabbit Polyclonal Antibody
Supplier: Invitrogen™ PA555638
Description
Immunogen sequence: ASLLSSNGCP DPDLVLKFGP VDSTLGFLPW HIRLTEIVSL PSHLNISYED FFSALRQYAA CEQRLGK Highest antigen sequence identity to the following orthologs: Mouse - 94%, Rat - 90%.
With DHDDS, forms the dehydrodolichyl diphosphate synthase (DDS) complex, an essential component of the dolichol monophosphate (Dol-P) biosynthetic machinery. Adds multiple copies of isopentenyl pyrophosphate (IPP) to farnesyl pyrophosphate (FPP) to produce dehydrodolichyl diphosphate (Dedol-PP), a precursor of dolichol which is utilized as a sugar carrier in protein glycosylation in the endoplasmic reticulum (ER). Regulates the glycosylation and stability of nascent NPC2, thereby promoting trafficking of LDL-derived cholesterol. Acts as a specific receptor for the N-terminus of Nogo-B, a neural and cardiovascular regulator.
Specifications
| NUS1 | |
| Polyclonal | |
| Unconjugated | |
| NUS1 | |
| 1600027K07Rik; AU019165; AW538011; BC003223; C6orf68; Cis-prenyltransferase subunit NgBR; D10Ertd438e; dehydrodolichyl diphosphate syntase complex subunit NUS1; dehydrodolichyl diphosphate syntase complex subunit NUS1 pseudogene; dehydrodolichyl diphosphate synthase complex subunit NUS1; di-trans,poly-cis-decaprenylcistransferase; MGC:7199; NgBR; Nogo-B receptor; Nuclear undecaprenyl pyrophosphate synthase 1 homolog; nuclear undecaprenyl pyrophosphate synthase 1 homolog (S. cerevisiae); Nus1; NUS1 dehydrodolichyl diphosphate synthase subunit; NUS1, dehydrodolichyl diphosphate synthase subunit; RGD1307879; TANGO14; transport and golgi organization 14 homolog | |
| Rabbit | |
| Antigen affinity chromatography | |
| RUO | |
| 116150 | |
| Store at 4°C short term. For long term storage, store at -20°C, avoiding freeze/thaw cycles. | |
| Liquid |
| Immunohistochemistry (Paraffin) | |
| 0.1 mg/mL | |
| PBS with 40% glycerol and 0.02% sodium azide; pH 7.2 | |
| Q96E22 | |
| NUS1 | |
| Recombinant protein corresponding to Human NUS1. Recombinant protein control fragment (Product #RP-94908). | |
| 100 μL | |
| Primary | |
| Human | |
| Antibody | |
| IgG |
Product Content Correction
Your input is important to us. Please complete this form to provide feedback related to the content on this product.
Product Title
Spot an opportunity for improvement?Share a Content Correction