Learn More
Invitrogen™ Occludin Polyclonal Antibody

Description
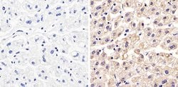
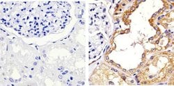
This antibody is specific for the human occludin protein. On western blots, it identifies the target band at ~65 kDa. Reactivity has been confirmed with human Caco-2 and HT29, dog MDCK, mouse TCMK, and rat KNRK cell lysates, and mouse kidney, liver, and rat liver homogenates by western blotting, Caco-2 cells by immunofluorescence, and paraffin-embedded human small intestine tissue by immunohistochemistry. For immunofluorescence using Caco-2 cells, fixation with cold ethanol is recommended. For immunohistochemistry in paraffin-embedded tissues, enzyme digestion with pepsin is required prior to staining.
Specifications
Specifications
| Antigen | Occludin |
| Applications | Immunohistochemistry (Paraffin), Western Blot, Immunocytochemistry |
| Classification | Polyclonal |
| Concentration | 0.25 mg/mL |
| Conjugate | Unconjugated |
| Formulation | PBS with 0.1% sodium azide; pH 7.4 |
| Gene | OCLN |
| Gene Accession No. | Q16625, Q28269, Q61146, Q6P6T5 |
| Gene Alias | AI503564; BLCPMG; Occludin; occludin 1B; Ocl; Ocln; phosphatase 1, regulatory subunit 115; PPP1R115; tight junction protein occludin; tight junction structural protein |
| Gene Symbols | OCLN |
| Show More |
Safety and Handling
By clicking Submit, you acknowledge that you may be contacted by Fisher Scientific in regards to the feedback you have provided in this form. We will not share your information for any other purposes. All contact information provided shall also be maintained in accordance with our Privacy Policy.