Promotional price valid on web orders only. Your contract pricing may differ. Interested in signing up for a dedicated account number?
Learn More
Learn More
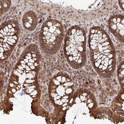
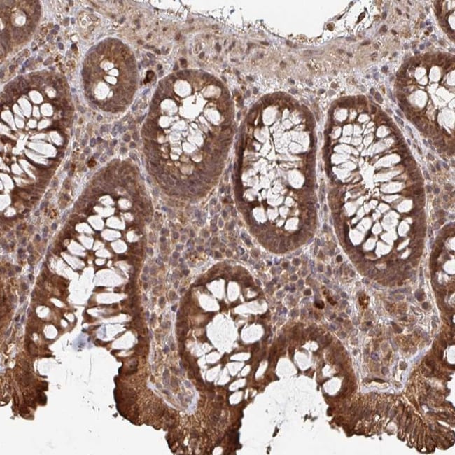
Invitrogen™ OR4C15 Polyclonal Antibody

Rabbit Polyclonal Antibody
Supplier: Invitrogen™ PA563994
Description
Immunogen sequence: KEVKQAMRRI WNRLMVVSDE KENIKL Highest antigen sequence identity to the following orthologs: Mouse - 46%, Rat - 50%.
Olfactory receptors interact with odorant molecules in the nose, to initiate a neuronal response that triggers the perception of a smell. The olfactory receptor proteins are members of a large family of G-protein-coupled receptors (GPCR) arising from single coding-exon genes. Olfactory receptors share a 7-transmembrane domain structure with many neurotransmitter and hormone receptors and are responsible for the recognition and G protein-mediated transduction of odorant signals. The olfactory receptor gene family is the largest in the genome. The nomenclature assigned to the olfactory receptor genes and proteins for this organism is independent of other organisms.
Specifications
OR4C15 | |
Polyclonal | |
Unconjugated | |
OR4C15 | |
Olfactory receptor 4C15; olfactory receptor family 4 subfamily C member 15; olfactory receptor OR11-127; Olfactory receptor OR11-134; olfactory receptor, family 4, subfamily C, member 15; OR11-127; OR11-134; OR4C15 | |
Rabbit | |
Antigen Affinity Chromatography | |
RUO | |
81309 | |
Store at 4°C short term. For long term storage, store at -20°C, avoiding freeze/thaw cycles. | |
Liquid |
Immunohistochemistry (Paraffin) | |
0.05 mg/mL | |
PBS with 40% glycerol and 0.02% sodium azide; pH 7.2 | |
Q8NGM1 | |
OR4C15 | |
Recombinant protein corresponding to Human OR4C15. Recombinant protein control fragment (Product #RP-101970). | |
100 μL | |
Primary | |
Human | |
Antibody | |
IgG |
Safety and Handling
WARNING: Cancer - www.P65Warnings.ca.gov
Product Content Correction
Your input is important to us. Please complete this form to provide feedback related to the content on this product.
Product Title
Spot an opportunity for improvement?Share a Content Correction