Promotional price valid on web orders only. Your contract pricing may differ. Interested in signing up for a dedicated account number?
Learn More
Learn More
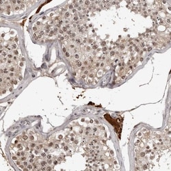
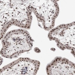
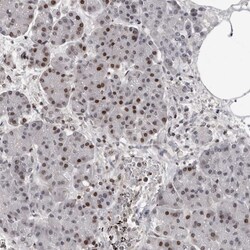
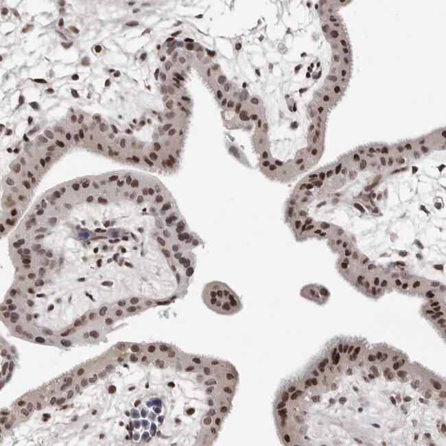
ORC1 Polyclonal Antibody

ORC1 Polyclonal Antibody
Supplier: Thermo Scientific PA582977
Description
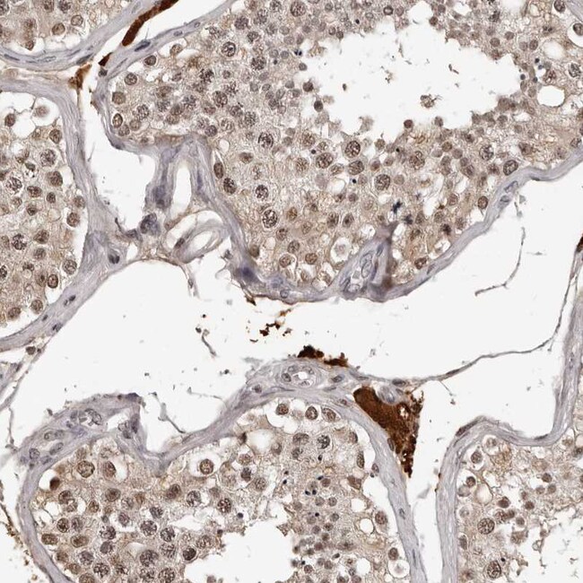
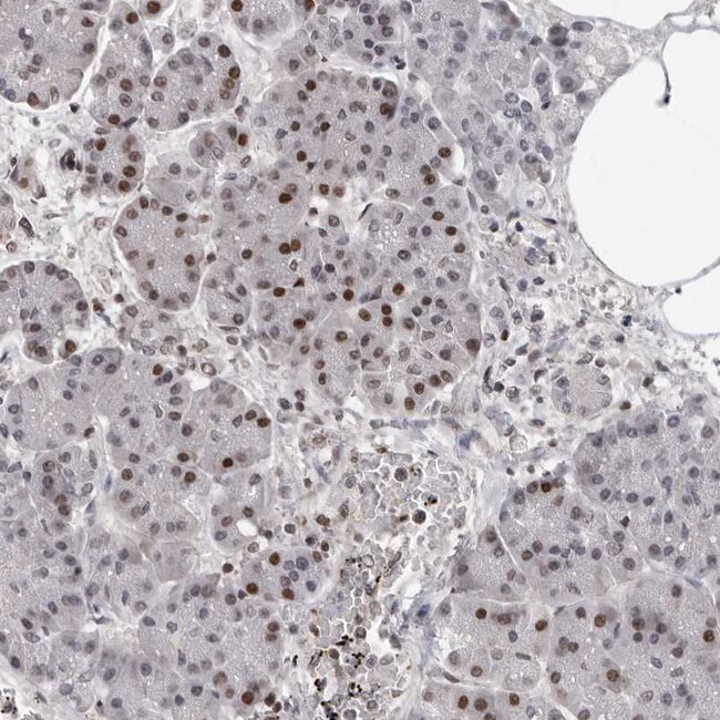
ORC1 Polyclonal Antibody for ICC/IF, IHC (P)

Specifications
ORC1 | |
Polyclonal | |
Unconjugated | |
Orc1 | |
AA545195; HS; HSORC1; MmORC1; orc1; orc1.L; Orc1l; origin recognition complex protein 1; origin recognition complex subunit 1; origin recognition complex subunit 1 L homeolog; origin recognition complex, subunit 1; origin recognition complex, subunit 1 homolog; origin recognition complex, subunit 1-like; PARC1; Replication control protein 1; XELAEV_18023178mg; xorc1 | |
Rabbit | |
Antigen affinity chromatography | |
RUO | |
4998 | |
Store at 4°C short term. For long term storage, store at -20°C, avoiding freeze/thaw cycles. | |
Liquid |
Immunohistochemistry (Paraffin), Immunocytochemistry | |
0.7 mg/mL | |
PBS with 40% glycerol and 0.02% sodium azide; pH 7.2 | |
Q13415 | |
Orc1 | |
Recombinant protein corresponding to Human ORC1. Recombinant protein control fragment (Product #RP-94042). | |
100 μL | |
Primary | |
Human | |
Antibody | |
IgG |
Product Content Correction
Your input is important to us. Please complete this form to provide feedback related to the content on this product.
Product Title
Spot an opportunity for improvement?Share a Content Correction