Promotional price valid on web orders only. Your contract pricing may differ. Interested in signing up for a dedicated account number?
Learn More

p38 MAPK Rabbit anti-Human, Mouse, Polyclonal, Bethyl Laboratories

Rabbit Polyclonal Antibody

Supplier:  Bethyl Laboratories, Inc A300707A

Encompass_Preferred

Catalog No. 50-155-8263


May include imposed supplier surcharges.
Only null left
Add to Cart

Description

Description

The recommended shelf life for this product is 1 year from date of receipt. Based on 100% sequence identity, this antibody is predicted to react with Rat, Dog and Chimpanzee

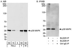
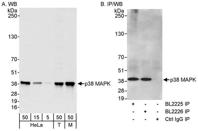
The p38 MAPK cascade regulates a variety of cellular responses to stress, inflammation, and other signals. p38 MAPK is relatively inactive in the nonphosphorylated form and becomes rapidly activated by dual phosphorylation of a Thr-Gly-Tyr motifs. There are four isoforms of p38 MAPK, which differ in their tissue expression and affinity for upstream activators and downstream effectors. When cells are exposed to tumor necrosis factor, interleukin-1, heat shock, or other activating stimuli, activation of MAPK kinase-3 occurs by phosphorylation. Activated MAPK kinase-3/6 phosphorylate each residue of Thr180 and Tyr182 in p38 MAPK. Phospho-p38 MAPK activates ATF-2, CHOP-1, MEF-2 and other transcription factors through phosphorylation.
Specifications

Specifications

p38 MAPK
Polyclonal
Unconjugated
MAPK14
p38-Alpha, p38MAPK, MAPK14, SAPK2A, CSBP1
Rabbit
Antigen affinity chromatography
RUO
5600, 19094, 26416, 1432
4° C
Liquid
Immunoprecipitation, Western Blot
0.2 mg/ml
TBS with 0.1% BSA and 0.09% sodium azide
Q9WUI1, Q15759, P47811, Q16539
MAPK11, Mapk14
Between 1 and 50
100 μL
Primary
Human, Mouse
Antibody
IgG
Product Suggestions

Product Suggestions

Videos
SDS
Documents

Documents

Product Certifications
Promotions

Promotions

Product Content Correction

The Fisher Scientific Encompass Program offers items which are not part of our distribution portfolio. These products typically do not have pictures or detailed descriptions. However, we are committed to improving your shopping experience. Please use the form below to provide feedback related to the content on this product.

Product Title

By clicking Submit, you acknowledge that you may be contacted by Fisher Scientific in regards to the feedback you have provided in this form. We will not share your information for any other purposes. All contact information provided shall also be maintained in accordance with our Privacy Policy.

Your feedback has been submitted: Thank you for helping us improve our website.