Promotional price valid on web orders only. Your contract pricing may differ. Interested in signing up for a dedicated account number?
Learn More

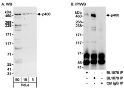
p400 Rabbit anti-Human, Mouse, Polyclonal, Bethyl Laboratories

Catalog No. 501557870
Encompass_Preferred
Change view
Click to view available options
Quantity:
100 μL
1 product options available for selection
Product selection table with 1 available options. Use arrow keys to navigate and Enter or Space to select.
Catalog No. Quantity
50-155-7870 100 μL
Use arrow keys to navigate between rows. Press Enter or Space to select a product option. 1 options available.
1 options
Catalog No. 50-155-7870 Supplier Bethyl Laboratories, Inc Supplier No. A300541A
Only null left
Add to Cart
Add to Cart

Rabbit Polyclonal Antibody

The recommended shelf life for this product is 1 year from date of receipt. Based on 100% sequence identity, this antibody is predicted to react with Rat, Bovine, Horse, Guinea pig_10141, Pig, Orangutan, Monkey, Gorilla and Chimpanzee

Component of the NuA4 histone acetyltransferase complex which is involved in transcriptional activation of select genes principally by acetylation of nucleosomal histones H4 and H2A. This modification may both alter nucleosome - DNA interactions and promote interaction of the modified histones with other proteins which positively regulate transcription. May be required for transcriptional activation of E2F1 and MYC target genes during cellular proliferation. The NuA4 complex ATPase and helicase activities seem to be, at least in part, contributed by the association of RUVBL1 and RUVBL2 with EP400. May regulate ZNF42 transcription activity.

Specifications

Antigen p400
Applications Immunoprecipitation, Western Blot
Classification Polyclonal
Concentration 0.2 mg/ml
Conjugate Unconjugated
Formulation TBS with 0.1% BSA and 0.09% sodium azide
Gene EP400
Gene Accession No. Q8CHI8, Q96L91
Gene Alias CAGH32, P400, TNRC12, CAG repeat protein 32, E1A-binding protein p400, domino homolog, hDomino, p400 SWI2/SNF2-related protein, p400 kDa SWI2/SNF2-related protein, trinucleotide repeat containing 12, trinucleotide repeat-containing gene 12 protein
Gene Symbols Ep400
Host Species Rabbit
Immunogen Between 3075 and C-term
Purification Method Antigen affinity chromatography
Quantity 100 μL
Regulatory Status RUO
Primary or Secondary Primary
Gene ID (Entrez) 57634, 75560
Target Species Human, Mouse
Content And Storage 4° C
Product Type Antibody
Form Liquid
Isotype IgG
Show More Show Less
Product Title
Select an issue

By clicking Submit, you acknowledge that you may be contacted by Fisher Scientific in regards to the feedback you have provided in this form. We will not share your information for any other purposes. All contact information provided shall also be maintained in accordance with our Privacy Policy.