Learn More
Invitrogen™ p53R2 Polyclonal Antibody

Description
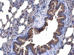
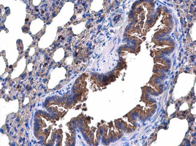
Recommended positive controls: NT2D1, IMR32, U87-MG, MCF-7, mouse brain. Predicted reactivity: Mouse (93%), Rat (94%), Xenopus laevis (81%). Store product as a concentrated solution. Centrifuge briefly prior to opening the vial.
Specifications
Specifications
| Antigen | p53R2 |
| Applications | Immunohistochemistry (Paraffin), Western Blot |
| Classification | Polyclonal |
| Concentration | 1 mg/mL |
| Conjugate | Unconjugated |
| Formulation | PBS with 1% BSA, 20% glycerol and 0.01% thimerosal; pH 7 |
| Gene | Rrm2b |
| Gene Accession No. | Q6PEE3, Q7LG56 |
| Gene Alias | MTDPS8A; MTDPS8B; p53-inducible ribonucleotide reductase small subunit 2 homolog; p53-inducible ribonucleotide reductase small subunit 2 short form beta; p53-inducible ribonucleotide reductase small subunit 2-like protein; p53R2; Ribonucleoside-diphosphate reductase subunit M2 B; ribonucleotide reductase M2 B (TP53 inducible); ribonucleotide reductase regulatory TP53 inducible subunit M2B; RRM2B; TP53-inducible ribonucleotide reductase M2 B |
| Gene Symbols | Rrm2b |
| Show More |
Safety and Handling
By clicking Submit, you acknowledge that you may be contacted by Fisher Scientific in regards to the feedback you have provided in this form. We will not share your information for any other purposes. All contact information provided shall also be maintained in accordance with our Privacy Policy.