Promotional price valid on web orders only. Your contract pricing may differ. Interested in signing up for a dedicated account number?
Learn More

Invitrogen™ PCDGF Polyclonal Antibody
GREENER_CHOICE

Catalog No. 403400
Encompass_Preferred
Change view
Click to view available options
Quantity:
100 μg
1 product options available for selection
Product selection table with 1 available options. Use arrow keys to navigate and Enter or Space to select.
Catalog No. Quantity
40-340-0 100 μg
Use arrow keys to navigate between rows. Press Enter or Space to select a product option. 1 options available.
1 options
Catalog No. 40-340-0 Supplier Invitrogen™ Supplier No. 403400
Only null left
Add to Cart
Edge
Add to Cart

Rabbit Polyclonal Antibody

PCDGF Polyclonal Antibody for Western Blot, IP

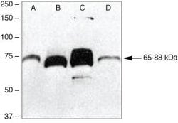
Granulins are a family of secreted, glycosylated peptides that are cleaved from a single precursor protein with 7.5 repeats of a highly conserved 12-cysteine granulin/epithelin motif. The 88 kDa precursor protein, progranulin, is also called proepithelin and PC cell-derived growth factor. Cleavage of the signal peptide produces mature granulin which can be further cleaved into a variety of active, 6 kDa peptides. These smaller cleavage products are named granulin A, granulin B, granulin C, etc. Epithelins 1 and 2 are synonymous with granulins A and B, respectively. Both the peptides and intact granulin protein regulate cell growth. However, different members of the granulin protein family may act as inhibitors, stimulators, or have dual actions on cell growth. Granulin family members are important in normal development, wound healing, and tumorigenesis.
TRUSTED_SUSTAINABILITY

Specifications

Antigen PCDGF
Applications Immunoprecipitation, Western Blot
Classification Polyclonal
Concentration 0.25 mg/mL
Conjugate Unconjugated
Formulation PBS with 0.1% sodium azide; pH 7.4
Gene GRN
Gene Accession No. P28799
Gene Alias Acrogranin; CLN11; Epithelin precursor; Epithelin-1; Epithelin-2; GEP; Glycoprotein of 88 Kda; GP88; granulin; Granulin A; Granulin B; Granulin C; Granulin D; Granulin E; Granulin F; Granulin G; Granulin precursor; Granulin-1; Granulin-2; Granulin-3; Granulin-4; Granulin-5; Granulin-6; Granulin-7; granulin-epithelin; granulins; GRN; Paragranulin; PC cell-derived growth factor; PCDGF; PEPI; PGRN; proepithelin; Progranulin
Gene Symbols GRN
Host Species Rabbit
Immunogen Synthetic peptide derived from the C-terminal region of human PCDGF.
Purification Method Antigen affinity chromatography
Quantity 100 μg
Regulatory Status RUO
Primary or Secondary Primary
Gene ID (Entrez) 2896
Target Species Human
Content And Storage -20°C
Product Type Antibody
Form Liquid
Isotype IgG
Show More Show Less
What do I need to consider when designing a peptide for antibody production?

We recommend that hydrophobic residues comprise 50% or less of all the residues in your sequence. Make sure there is at least one charged residue for every five amino acids: this is generally known to enhance the solubility of the peptide. Peptides (compared to polypeptides, which fold and bury the hydrophobic amino acids) are too small to fold, so just a few hydrophobic amino acids may leave them insoluble.

Other guidelines include:
Peptides containing multiple Cys, Met, and Trp can be hard to synthesize.
Some sequences are problematic in solid-phase peptide synthesis or cleavage and are best avoided; these include Asp-Pro sequences or stretches of amino acids that require bulky protecting groups on their side chains during synthesis.
Glycine is often good for antigenicity as it has only a hydrogen side chain; this allows for complete rotation.
Please note that we offer a Custom Antibody Production service (https://www.thermofisher.com/us/en/home/life-science/antibodies/custom-antibodies/custom-antibody-production.html) that includes the use of our proprietary Antigen Profiler and Antigen Preparation tool (https://www.thermofisher.com/us/en/home/life-science/antibodies/custom-antibodies/custom-antibody-production/antigen-profiler-antigen-preparation.html).

What is the optimal peptide length for antibody production?

Most peptide antigens range in length from 12 to 16 residues and are relatively easy to synthesize. Peptides of 9 residues or shorter have been effective antigens for antibody production, but peptides longer than 16 amino acids may contain several epitopes and form secondary structures. Peptides in excess of 18 residues begin to present more synthetic challenges. Before you synthesize your peptide, we recommend doing a BLASTP search using your peptide sequence. This is to make sure that the peptide is not homologous or identical to a sequence in a completely unrelated protein in the host animal.

Please note that we offer a Custom Antibody Production service (https://www.thermofisher.com/us/en/home/life-science/antibodies/custom-antibodies/custom-antibody-production.html) that includes the use of our proprietary Antigen Profiler and Antigen Preparation tool (https://www.thermofisher.com/us/en/home/life-science/antibodies/custom-antibodies/custom-antibody-production/antigen-profiler-antigen-preparation.html).

What happens if antibodies are stored improperly?

Improper storage of antibodies can lead to:
- Degradation: Loss of activity and specificity
- Aggregation: Formation of precipitates or clumps
- Reduced performance: Poor results in assays or experiments

What do antibody pair kits contain, how many samples can I process, and how can I find a list of antibody pair kits by target?

Antibody pair kits contain capture antibody, detection antibody, recombinant standard and HRP conjugate. Each contains enough reagents to process forty 96-well plates. A list of Antibody Pair Kits (https://www.thermofisher.com/us/en/home/life-science/protein-biology/protein-assays-analysis/elisa/antibody-pair-kits.html) is available by target.

What do Reagent Sets contain, how many samples can I process, and how can I check if a Reagent Set is available for my target?

Reagent Sets contain Capture Antibody, Detection Antibody, Recombinant Standard, HRP Conjugate, TMB Substrate and Stop Solution. Each contains enough reagents to process five 96-well plates. Reagent Sets are included in the main list of ELISA (https://www.thermofisher.com/us/en/home/life-science/protein-biology/protein-assays-analysis/elisa/antibody-pair-kits.html) kits (search by “Reagent Set”).

How many ELISA kits are available and how can I search for an ELISA kit by the target?

Over 1000 different ELISA kits targeting greater than 800 different molecules are available. A search page (Find ELISA Kits by Target - https://www.thermofisher.com/us/en/home/life-science/protein-biology/protein-assays-analysis/elisa/elisa-kits/target-specific-elisa-kits.html) is available.

Why doesn't my antibody recognize the native protein in my application?

Antibodies prepared against a short peptide sequence may not always recognize the full-length protein in which that peptide sequence is located. The peptide sequence only represents a small portion of the entire protein, and the full-length protein is usually a more complex structure with folds, alpha-helices, beta-sheets, and other structural motifs as well as various posttranslational modifications, any of which can shield the epitope from the antibody. This is one reason it is important to read the manuals for our antibodies. They describe the capabilities and specificity of our antibodies and list the applications for which these products are validated.

I stored my diluted antibody in the refrigerator for a week, and now it doesn't work. What happened?

In all likelihood, your antibody stopped working because it lost its reactivity. This happens because antibodies (and most other proteins) are less stable at low concentrations (e.g., the µg/mL range and lower) than they are at higher concentrations. For example, proteins adsorb to surfaces like the walls of their containers due to charge-mediated and hydrophobic interactions. This occurs regardless of the protein concentration, and it usually results in some degree of protein denaturation and loss of activity. However, at low protein concentrations the impact of adsorption is larger per unit of time than at higher concentrations. Antibodies in solution also aggregate with each other for the same reasons that they adsorb to surfaces, sometimes resulting in loss of activity. How fast your diluted antibody loses activity in storage is unpredictable, so store your diluted antibodies no longer than overnight at 2-8 degrees C and then discard them. Better yet, make a fresh working dilution each time you need to use the antibody.

I tried the antibody dilution (concentration) that you suggested in your manual, and it didn't work. What should I do now?

The definition of “didn't work” depends on what you did with the antibody. For example, it could mean that you observed no specific immunofluorescence staining at the antibody concentration that we suggested. It could also mean that, at the antibody dilution we recommended, your western blots showed high background staining. The suggested antibody concentrations specified in our manuals should be considered starting points for further experimentation. These values were derived in our labs during development of the antibody, or they are based on the experiences of our collaborators as well as other customers. If our suggestions don't work for you, try your method again with a different concentration/dilution. Continue optimizing until your results are as good as you can make them. If your experiments still don't “work”, please contact Technical Support at techsupport@thermofisher.com for further help.

What should I do if my antibody got frozen accidentally?

For most of the antibodies that we sell, a single freeze-thaw cycle should not damage them. Remove the antibody from the freezer and thaw it quickly. Mix it gently (do not vortex) and keep it on ice or in a refrigerator at 2-8 degrees C. It can be stored this way for approximately 1 month. If your working dilution of antibody got frozen, it should not be reused after it thaws. Antibodies in diluted solutions are not stable to freezing and thawing.

Do your preparations of HRP-conjugated antibodies contain sodium azide?

HRP is inhibited by sodium azide, so our HRP-conjugated antibodies do not contain this agent. Our unconjugated antibodies are, however, supplied in solutions containing sodium azide.

Why are some of your antibodies supplied with BSA and sodium azide?

Bovine serum albumin (BSA) is a protein-stabilizing agent, and sodium azide is a preservative that prevents bacterial growth. The carrier protein and preservative are added to increase functionality and longevity of the antibodies. Antibodies supplied with BSA and azide can be stored at 2-4 degrees C.

Is my antibody stable at room temperature?

Generally, antibodies can be left at room temperature for up to a week without loss of activity. Hence, we ship many of our antibodies at ambient temperature. However, longer storage at room temperature or higher is not recommended, and we can't guarantee the performance of the antibody under such circumstances. Please contact Technical Support at techsupport@thermofisher.com if you have further questions about antibody stability.

Why do you recommend a non-frost-free freezer for antibody storage?

Non-frost-free freezers are recommended for antibody storage because they do not go through automatic defrost cycles. To keep a freezer compartment frost-free, the freezer actually defrosts itself periodically with heating coils. Temperatures inside the freezer can rise to 0 degrees C and above during the defrost cycle. If antibodies are subjected to these temperatures for a long enough time, they can undergo a partial thaw. This happens especially at the interface between the air in the sample container and the surface of the frozen contents. Since air warms faster than water, proteins at the interface are affected more than those in the depths of the tubes.

Even if you are using a non-frost-free freezer, you should pay attention to where your antibodies are stored inside it. It is best to store them in an area of the freezer compartment that experiences the least temperature fluctuation, which is usually in the center in the back of the freezer. Do not store antibodies near the front of the freezer compartment or on a shelf in the freezer door, where they are exposed to room temperature every time the freezer door is opened. Make sure as well that the antibody container is tightly sealed. This can help to prevent water loss from the antibody via sublimation (conversion of ice directly to water vapor that escapes from the containers). This slow process is basically freeze-drying at normal atmospheric pressure, and it can lead to damage to the antibody.

How should I store antibodies?

We recommend following the storage recommendations provided in the manual and on the product label. In general, concentrated antibodies in solution can be stored at 2-8 degrees C for up to 1 month.

For long-term storage, we recommend that antibodies be aliquoted into small, single-use amounts and stored at -20 degrees C in a non-frost-free freezer or at -80 degrees C. Avoid multiple freeze-thaw cycles as this will degrade the antibody over time. Make the final working dilution just prior to use and do not freeze diluted antibodies. Additionally, ensure that the storage buffer is compatible with the intended application (e.g., avoid using sodium azide for cell culture application).
Note: Fluorescent conjugated antibodies should not be stored frozen but always stored at 2-8 degrees C.

It is possible to add stabilizing agents like glycerol (40-50% (v/v), ethylene glycol, or sodium azide to the antibody solution. However, unless we say that it is okay to do so, we cannot guarantee the performance of the product with these stabilizing agents added.

How much antibody should I use for my immunoprecipitation (IP) reaction?

The recommended amounts of antibody to use are based on the protein concentration of the cell or tissue lysate. Also, amounts vary depending on the antibody source, as follows: for each 200-500 µg of cell or tissue lysate protein, we suggest adding 1-10 µg of purified monoclonal or polyclonal antibody, 1-5 µL of an unpurified polyclonal antiserum, 0.2-1 µL of ascites fluid, or 20-100 µL of hybridoma supernatant. These suggestions are guidelines only, so you will probably have to optimize your IP reactions empirically to determine the amount of antibody that provides the best yield and lowest background. Most likely you will do this by performing SDS-PAGE followed by western blotting of the immunoprecipitates and staining with antigen-specific antibodies.

It is useful to remember that an antibody will probably work in IP if it works well in immunohistochemical or immunofluorescence staining. This is because these applications depend on antibody recognition of the antigen in the native protein. The only way to be certain is to try the antibody in IP using the guidelines discussed above as a starting point.

Can you offer some tips for choosing a secondary antibody?

Secondary antibodies may be either too specific (e.g., recognize only one host species of primary antibody) or too general (e.g., recognize whole IgG and any fragments thereof). In most cases, these limitations can be overcome by carefully designing the experimental system and choosing the appropriate secondary antibody. The following considerations are useful to help choose a secondary antibody:

Determine the host species of the primary antibody (e.g., mouse anti-tubulin).
Select an appropriate host species for the secondary antibody-you will need a secondary antibody that is raised in a species different from the host species of the primary antibody (e.g., goat anti-mouse IgG).
Consider cross-reactivity or specificity issues of the secondary antibody.
Highly cross-absorbed-for multiple-labeling applications or when using samples with endogenous antibodies.
Specificity-binds to correct fragments, classes, or chains of the primary antibody.
Use an appropriate detection or purification method.
Label-appropriately conjugated to the correct enzyme, tag, or fluorophore for the chosen detection method.
Ability to bind to Protein A, Protein G, or Protein L-make sure the secondary antibody chosen has sufficient affinity for the molecules used upstream or downstream (i.e., Protein A-coated microplates).
Consider requirements of the supplied secondary antibody.
Supplied state-sterile liquid or lyophilized, suspended in PBS or Tris buffer, contains carrier proteins such as gelatin or albumin or the addition of stabilizers such as sucrose or microbial inhibitors.

I would like to purchase a secondary antibody. How I should pick the host species for the secondary antibody?

Secondary antibodies are directed against the species of the primary antibody. Therefore, you will need a secondary antibody that is raised in a species different from the host species of the primary antibody. For example, if your primary antibody is raised in a rabbit, you will need an anti-rabbit secondary antibody raised in a host species other than rabbit (e.g., goat, mouse, etc.).

Can I still buy antibodies from you that I used to buy from Zymed, Biosource, and Caltag?

Many of the antibodies that were sold by Zymed, Biosource, and Caltag are still available from us. In most cases, the same catalog numbers are still being used. In fact, the same production methods developed by these original suppliers are still used as well. This means that the antibody specifications, formulations, concentrations, usage guidelines, and the results you are accustomed to are the same now as they were in the past. The antibodies that have been discontinued were eliminated for 3 basic reasons: 1) we did not want multiple brand names on the same antibody; 2) we could no longer assure a reliable supply of the products; or 3) some antibodies simply sold too few units per year for us to continue to sell them. When you find a Zymed, Biosource, or Caltag antibody cited in the literature and you're not sure if it's still available, please contact Technical Support at techsupport@thermofisher.com. If Technical Support can positively identify the product, it's easy to determine its availability.

Can I buy your anti-epitope antibodies in larger volumes than 50 microliters?

Yes, a few of our unconjugated antibodies can be purchased in 500 µL volumes. The catalog numbers are: R950-CUS (anti-Myc antibody) and R960-CUS (anti-V5 antibody).

What does the "PAD" number assigned to a polyclonal antibody designate?

The abbreviation PAD stands for “Polyclonal Antibody Designation”. The PAD is analogous to the clone name or number for monoclonal antibodies, but it is used as a unique identifier for polyclonal antibodies. The PAD is part of an agreed-upon nomenclature system that was developed so that researchers can cite antibodies in publications without using catalog numbers.

Which species are used for production of polyclonal antibodies?

Polyclonal antibodies are mixtures of related antibodies harvested from the serum of previously immunized animals. Serum-derived polyclonal antibodies can be produced in virtually any mammal. However, most polyclonal antibodies are produced in animals with large blood volumes like goats, rabbits, donkeys, and sheep. An alternative source of polyclonal antibodies is egg yolk from birds like chickens and turkeys that have been immunized with antigens. Polyclonal antibodies isolated from egg yolk are of the IgY class. The IgY antibodies are functionally equivalent to IgG antibodies from mammals. Most of our polyclonal antibody products are derived from goat or rabbit serum. We offer many polyclonal antibodies that recognize numerous protein antigens, including phosphorylated targets. Among our polyclonal antibodies are class- and species-specific antibodies (e.g., those that recognize IgG from a particular species), so they are used as secondary antibodies for immunodetection.

Can you help me to select a polyclonal secondary antibody?

To select a polyclonal secondary antibody, please use our Secondary Antibody Selection Tool (https://www.thermofisher.com/order/genome-database/browse/antibody/sub-type/antibody_secondary).

What is the molecular weight of your monoclonal antibodies?

In general, for IgG antibodies, the heavy chain is approximately 55 kDa and the light chain is approximately 25 kDa.

Which species are used for production of monoclonal antibodies?

Monoclonal antibodies are produced in mice, rats, hamsters, and rabbits. First, the host animal is injected with an antigen to initiate a humoral immune response. In most procedures, spleen cells from these hosts are fused in vitro with cultured malignant myeloma cells. The cell clones that survive the fusion step are known as hybridomas. Hybridomas are immortal because of their myeloma characteristics, and they are easily propagated in culture. Because of their B cell properties, some hybridoma clones continually synthesize and secrete a single, genetically homogeneous type of antibody, the monoclonal antibody. Monoclonal antibodies are therefore homologous to natural immunoglobulins from mice, rats, hamsters, or rabbits, but they can be produced by hybridomas in vitro, indefinitely. Mouse-, rat-, hamster-, and rabbit-derived hybridomas are currently the most common sources of monoclonal antibodies, and we offer monoclonals from these species that recognize a huge selection of antigens.

I am interested in a monoclonal antibody specific to my target protein. How do I go about finding it?

Please go to our Primary Antibody Selection Tool (https://www.thermofisher.com/order/genome-database/browse/antibody/sub-type/antibody_primary) and then select “Monoclonal” or “Recombinant” under “Antibody Type” on the left navigation pane, for our mouse and other monoclonal antibodies, or our recombinant ABfinity rabbit monoclonal antibodies.

When you say to dilute the antibody 1:200 or 1:1,000, how do I do this?

Diluting an antibody 1:200 means that you add 1 volume of it to 199 volumes of a diluent (1 + 199 = 200). Similarly, a 1:1,000 dilution means that you add 1 volume of antibody to 999 volumes of the diluent (1 + 999 = 1,000). Let's say that you need 20 mL of your antibody at a dilution of 1:200. It would be very easy to take 1 mL of antibody and add it to 199 mL of diluent. However, you only need a total of 20 mL of diluted antibody, so you can take 0.1 mL (100 µL) of antibody and add it to 19.9 mL of diluent (0.1 + 19.9 = 20). This is still a 1:200 dilution. If you only need 2 mL of diluted antibody, the mixture would be 0.01 mL (10 µL) of antibody added to 1.99 mL of diluent (0.01 + 1.99 = 2). This is also a 1:200 dilution. Whenever you dilute an antibody, mix it gently to ensure a homogeneous solution. We recommend against using a vortex mixer, as vortexing may contribute to inactivation of the antibody.

Where can I find the concentration of the antibody that I bought from you?

The concentration of most of our antibody products will be listed on the product label and in the manual. For primary and secondary antibodies, the concentration ranges from 0.1 to 2 mg/mL, depending on the product. The concentration range for most “prediluted” antibodies is 1-10 µg/mL; for what we refer to as “concentrates”, it is usually 50-500 µg/mL. For some products, we do not provide the concentration-these are packed by volume (e.g., 100 µL) or other unit amounts (e.g., 10 blots). Also, the concentrations of many former Zymed pathology antibodies (Cat. No. starting with 08, 18, or 28) are not provided. A few of our antibodies consist of unfractionated serum, concentrated hybridoma supernatant, or samples of ascites fluid. In these cases, the antibody concentrations are unknown. Please follow our dilution recommendations for these products.

The concentrations of antibodies packed by volume are not trade secrets, but the unit size is based on activity titration rather than antibody concentration. Thus, there is lot-to-lot variability in the antibody concentration. For most antibodies sold by volume or other amounts, the number of slides or western blots that you can stain with each vial from each lot does not change because the recommended dilutions remain the same. If you don't know the concentration of your antibody, please contact Technical Support at techsupport@thermofisher.com with the catalog and lot numbers.


Product Title
Select an issue

By clicking Submit, you acknowledge that you may be contacted by Fisher Scientific in regards to the feedback you have provided in this form. We will not share your information for any other purposes. All contact information provided shall also be maintained in accordance with our Privacy Policy.