Promotional price valid on web orders only. Your contract pricing may differ. Interested in signing up for a dedicated account number?
Learn More

PCTAIRE 2 Rabbit anti-Human, Polyclonal, Bethyl Laboratories

Catalog No. 501563184
Encompass_Preferred
Change view
Click to view available options
Quantity:
100 μL
1 product options available for selection
Product selection table with 1 available options. Use arrow keys to navigate and Enter or Space to select.
Catalog No. Quantity
50-156-3184 100 μL
Use arrow keys to navigate between rows. Press Enter or Space to select a product option. 1 options available.
1 options
Catalog No. 50-156-3184 Supplier Bethyl Laboratories, Inc Supplier No. A302674A
Only null left
Add to Cart
Add to Cart

Rabbit Polyclonal Antibody

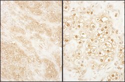
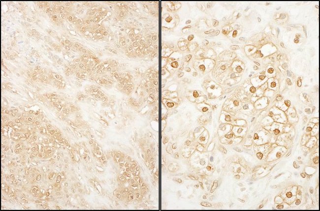
The recommended shelf life for this product is 1 year from date of receipt. Application Note: For IHC, epitope retrieval with citrate buffer pH 6.0 is recommended for FFPE tissue sections.

The protein encoded by this gene belongs to the cdc2/cdkx subfamily of the ser/thr family of protein kinases. It has similarity to rat protein which is thought to play a role in terminally differentiated neurons.

Specifications

Antigen PCTAIRE 2
Applications Immunohistochemistry, Western Blot
Classification Polyclonal
Concentration 1 mg/ml
Conjugate Unconjugated
Formulation phosphate, tris citrate with 0.09% sodium azide; pH 7-8
Gene CDK17
Gene Accession No. Q00537
Gene Alias Serine/threonine-protein kinase PCTAIRE-2
Gene Symbols CDK17
Host Species Rabbit
Immunogen Between 1 and 50
Purification Method Antigen affinity chromatography
Quantity 100 μL
Regulatory Status RUO
Primary or Secondary Primary
Gene ID (Entrez) 5128
Target Species Human
Content And Storage 4° C
Product Type Antibody
Form Liquid
Isotype IgG
Show More Show Less
Product Title
Select an issue

By clicking Submit, you acknowledge that you may be contacted by Fisher Scientific in regards to the feedback you have provided in this form. We will not share your information for any other purposes. All contact information provided shall also be maintained in accordance with our Privacy Policy.