Learn More
PDE1B Mouse anti-Canine, Human, Rat, Clone: OTI6B9, lyophilized, TrueMAB™

Mouse Monoclonal Antibody
Supplier: OriGene CF503325

Description
Reconstitute with PBS (pH 7.3) and recommend to perform another round of desalting process using Product No. 7KMWCO
The protein encoded by this gene belongs to the cyclic nucleotide phosphodiesterase (PDE) family, and PDE1 subfamily. Members of the PDE1 family are calmodulin-dependent PDEs that are stimulated by a calcium-calmodulin complex. This PDE has dual-specificity for the second messengers, cAMP and cGMP, with a preference for cGMP as a substrate. cAMP and cGMP function as key regulators of many important physiological processes. Alternatively spliced transcript variants encoding different isoforms have been described for this gene.Specifications
PDE1B | |
Monoclonal | |
Unconjugated | |
PDE1B | |
HEL-S-79p, PDE1B1, PDES1B | |
Mouse | |
Affinity Chromatography | |
RUO | |
100856025, 29691, 5153 | |
-20° C, Avoid Freeze/Thaw Cycles | |
Lyophilized |
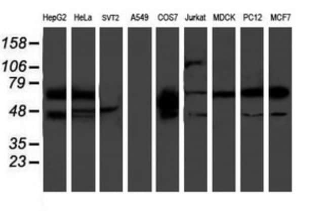
Flow Cytometry, Immunocytochemistry, Immunofluorescence, Western Blot | |
OTI6B9 | |
PBS with 8% trehalose and no preservative; pH 7.3 | |
Q01064, Q01066 | |
PDE1B | |
Full length human recombit protein of human PDE1B produced in HEK293T cell. | |
100 μg | |
Primary | |
Canine, Human, Rat | |
Antibody | |
IgG2b |
The Fisher Scientific Encompass Program offers items which are not part of our distribution portfolio. These products typically do not have pictures or detailed descriptions. However, we are committed to improving your shopping experience. Please use the form below to provide feedback related to the content on this product.