Learn More
Invitrogen™ PER2 Polyclonal Antibody

Description
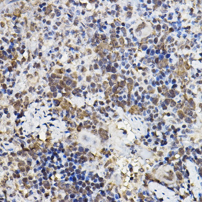
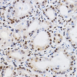
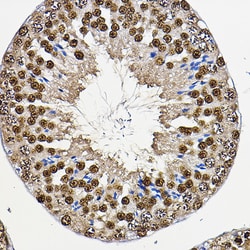
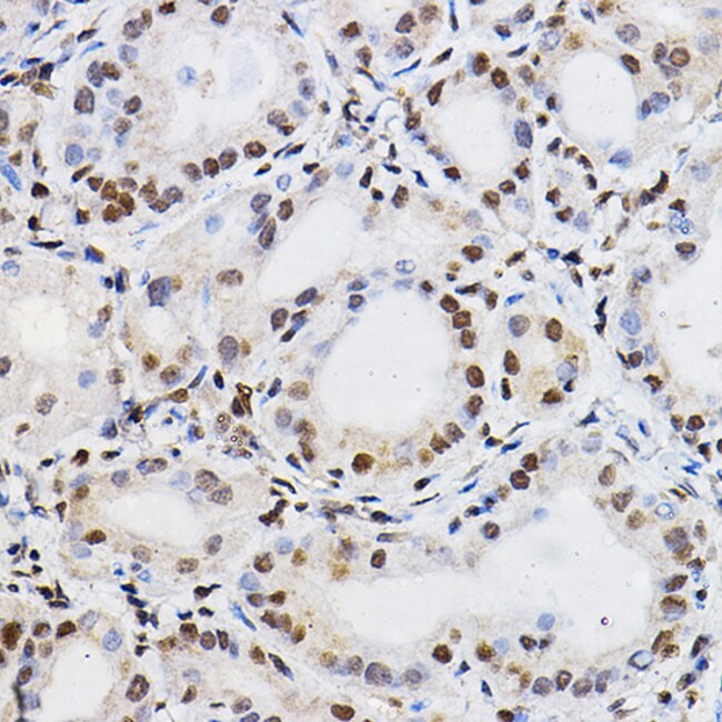
Positive Samples: Mouse liver; Cellular Location: Cytoplasm, Nucleus, nucleolus, perinuclear region.
Specifications
Specifications
| Antigen | PER2 |
| Applications | ChIP Assay, ELISA, Immunohistochemistry (Paraffin), Western Blot |
| Classification | Polyclonal |
| Concentration | 2.25 mg/mL |
| Conjugate | Unconjugated |
| Formulation | PBS with 50% glycerol and 0.09% sodium azide; pH 7.3 |
| Gene | Per2 |
| Gene Accession No. | O15055, O54943, Q9Z301 |
| Gene Alias | circadian clock protein PERIOD 2; FASPS; FASPS1; hPER2; KIAA0347; mKIAA0347; mPer2; PER2; per2 {ECO:0000312; period 2; period circadian clock 2; period circadian protein 2; period circadian protein homolog 2; period circadian regulator 2; period homolog 2; RGD:61945}; rPER2 |
| Gene Symbols | Per2 |
| Show More |
By clicking Submit, you acknowledge that you may be contacted by Fisher Scientific in regards to the feedback you have provided in this form. We will not share your information for any other purposes. All contact information provided shall also be maintained in accordance with our Privacy Policy.