Promotional price valid on web orders only. Your contract pricing may differ. Interested in signing up for a dedicated account number?
Learn More
Learn More
Invitrogen™ PHF8 Polyclonal Antibody

Rabbit Polyclonal Antibody
Supplier: Invitrogen™ PA5109289
Description
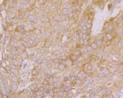
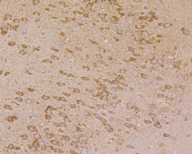
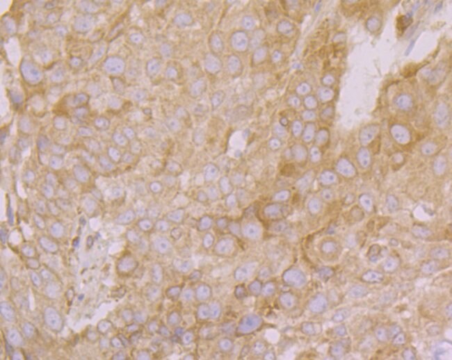
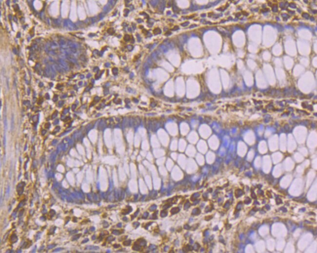
Positive Control: PC-3M, A431, Hela, JAR, rat brain tissue , human lung cancer tissue, human colon tissue, mouse brain tissue, human kidney tissue, Siha.
PHD finger protein 8 is a jumonji domain containing protein. Like other members of the jumonji family, PHF8 may therefore play a role in histone demethylation. Mutations in PHF8 lead to Siderius type X-linked mental retardation (MRXSSD), a mild to borderline type of mental retardation.
Specifications
| PHF8 | |
| Polyclonal | |
| Unconjugated | |
| PHF8 | |
| 9830141C09Rik; histone lysine demethylase PHF8; JHDM1F; jumonji C domain-containing histone demethylase 1F; Kiaa1111; mKIAA1111; MRXSSD; PHD finger protein 8; PHF8; RGD1561065; ZNF422 | |
| Rabbit | |
| Affinity chromatography | |
| RUO | |
| 23133 | |
| -20°C, Avoid Freeze/Thaw Cycles, store in dark | |
| Liquid |
| Flow Cytometry, Immunohistochemistry (Paraffin), Western Blot, Immunocytochemistry | |
| 1 mg/mL | |
| PBS with 0.2% BSA, 50% glycerol and 0.05% sodium azide; pH 7.4 | |
| Q9UPP1 | |
| PHF8 | |
| Recombinant protein within Human PHF8 aa 153-362. | |
| 100 μL | |
| Primary | |
| Human | |
| Antibody | |
| IgG |
Product Content Correction
Your input is important to us. Please complete this form to provide feedback related to the content on this product.
Product Title
Spot an opportunity for improvement?Share a Content Correction