Promotional price valid on web orders only. Your contract pricing may differ. Interested in signing up for a dedicated account number?
Learn More
Learn More
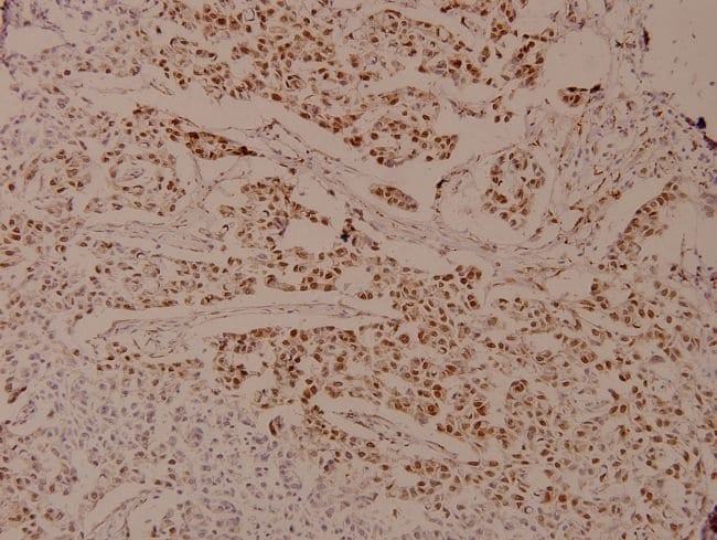
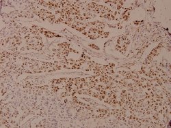
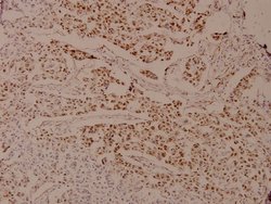
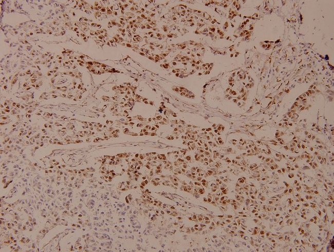
Invitrogen™ Phospho-Androgen Receptor (Ser650) Polyclonal Antibody

Rabbit Polyclonal Antibody
Supplier: Invitrogen™ PA536617
Description
This antibody detects endogenous protein at a molecular weight of 110 kDa. Purity is >95% by SDS-PAGE.
The androgen receptor (AR) is a member of the steroid-hormone receptor superfamily of nuclear receptors. The receptor is more than 90 kDa and has three major functional domains: the N-terminal domain, DNA-binding domain, and the androgen-binding domain. The androgen receptor is a ligand-activated transcription factor that binds active testosterone (T) and dihydrotestosterone (DHT). Upon binding the hormone ligand, the receptor dissociates from accessory proteins, translocates into the nucleus, dimerizes, and then stimulates transcription of androgen responsive genes. The AR signaling pathway plays a key role in development and function of male reproductive organs, including the prostate and epididymis.AR also plays a role in nonreproductive organs, such as muscle, hair follicles, and brain.Androgen Receptor is a phosphoprotein, and also regulates mitogen-activated protein kinase (MAP kinase). The inhibition of the MEK1/2 pathway correlates directly with a change in phosphorylation state of the androgen receptor. Abnormalities in the AR signaling pathway have been linked to a number of diseases, including prostate cancer, Kennedy's disease, and male infertility. Mutations in this gene are associated with complete androgen insensitivity (CAIS).
Specifications
Phospho-Androgen Receptor (Ser650) | |
Polyclonal | |
Unconjugated | |
AR | |
AIS; Andr; androgen nuclear receptor variant 2; androgen receptor; androgen receptor (Testicular feminization), same as Tfm; androgen receptor splice variant 4b; Ar; AR8; AR-A; AW320017; DHTR; dihydrotestosterone receptor; HUMARA; HYSP1; KD; NR3C4; Nuclear receptor subfamily 3 group C member 4; RP11-383C12.1; SBMA; SMAX1; TFM; Variant AR45 | |
Rabbit | |
Antigen Affinity Chromatography | |
RUO | |
24208, 367 | |
Store at 4°C short term. For long term storage, store at -20°C, avoiding freeze/thaw cycles. | |
Liquid |
Immunohistochemistry (Paraffin) | |
1 mg/mL | |
PBS with 50% glycerol and 0.02% sodium azide; pH 7.2 | |
P10275, P15207 | |
AR | |
Synthetic phosphopeptide derived from human AR around the phosphorylation site of Serine 650. | |
100 μL | |
Primary | |
Human, Rat | |
Antibody | |
IgG |
Product Content Correction
Your input is important to us. Please complete this form to provide feedback related to the content on this product.
Product Title
Spot an opportunity for improvement?Share a Content Correction